في بريطانيا.. السرطان يحصد ثلث الوفيات
تقرير رسمي يرصد الأسباب العشرة لوفاة الرجال والنساء في بريطانيا، يحتل السرطان المرتبة الأولى بينها
قال مكتب الإحصاء الوطني في بريطانيا، إن "ثلث الوفيات سببها الإصابة بمرض السرطان".
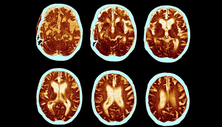
وأظهرت الأرقام الرسمية أن الخلل العقلي أو الزهايمر أحد الأسباب المؤدية إلى موت النساء أكثر من الرجال، لافتًا إلى أن الخلل العقلي يؤدي إلى الوفاة أكثر من سرطان الثدي.
وبحسب صحيفة "ديلي ميل" البريطانية في عددها الصادر اليوم الثلاثاء، فإن نسبة وفاة النساء بالأمراض العقلية ارتفعت من 12.2% في العام 2013 إلى 13.4% في 2014.
وأوردت "ديلي ميل" الثلاثاء، خمسة أسباب رئيسية لموت الرجال والنساء في إنجلترا، تمثلت أسباب وفاة الرجال في إصابتهم بمرض الشريان التاجي بنسبة 14.8%، فيما جاء الخلل العقلي والزهايمر بنسبة 7.0%.
في حين جاء سرطان الرئة بنسبة 6.9%، ومن ثم أمراض الجهاز التنفسي المزمنة بنسبة 5.9%، فيما جاءت الإصابة بالأمراض القلبية بنسبة 5.8%.
في حين أوردت الصحيفة الأسباب الخمسة لوفاة النساء، وهي الإصابة بالخلل العقلي والزهايمر بنسبة 13.4%.
واحتلت الإصابة بمرض الشريان التاجي المرتبة الثانية بنسبة 9.4%، تليها الإصابة بالأمراض القلبية بنسبة 7.8%.
وجاءت الإصابة بأمراض الجهاز التنفسي المزمنة بنسبة 5.6%، فيما جاءت الإنفلونزا والتهاب الرئة في المرتبة الخامسة بنسبة 5.5%.
