أماكن يصعب الوصول لها.. روبوتات صغيرة لتنظيف الأسنان
أظهرت دراسة جديدة أجراها باحثون في المعهد الهندي للعلوم (IISc) وشركة "ثيرانوتيلوس" الناشئة، أن الروبوتات بحجم النانو التي يتم التلاعب بها باستخدام مجال مغناطيسي، يمكن أن تساعد في قتل البكتيريا في أعماق الأنابيب العاجية وتعزيز نجاح علاجات قناة الجذ
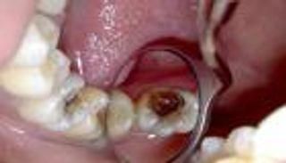
ويتم إجراء علاجات قناة الجذر بشكل روتيني لدى ملايين المرضى، ويتضمن الإجراء إزالة الأنسجة الرخوة المصابة داخل السن، والتي تسمى اللب، وغسل السن بالمضادات الحيوية أو المواد الكيميائية لقتل البكتيريا المسببة للعدوى، لكن في كثير من الأحيان يفشل العلاج في إزالة جميع البكتيريا تمامًا- خاصة البكتيريا المقاومة للمضادات الحيوية مثل المكورات المعوية البرازية، والتي تظل مخفية داخل القنوات المجهرية في السن، والتي تسمى الأنابيب العاجية.
ويقول شانموخ سرينيفاس، الباحث المشارك في مركز علوم وهندسة النانو بالمعهد الهندي للعلوم: "الأنابيب العاجية صغيرة جدًا وتوجد البكتيريا في عمق الأنسجة، والتقنيات الحالية ليست فعالة بما يكفي للذهاب إلى الداخل وقتل البكتيريا".
وفي الدراسة التي نُشرت اليوم في مجلة "أدفانسيد هيلث كير ماتريال"، صمم الباحثون روبوتات نانوية حلزونية مصنوعة من ثاني أكسيد السيليكون المطلي بالحديد، والتي يمكن التحكم فيها باستخدام جهاز يولد مجالًا مغناطيسيًا منخفض الكثافة، ثم تم حقن هذه الروبوتات النانوية في عينات الأسنان المستخرجة وتم تتبع حركتها باستخدام المجهر.

ومن خلال تعديل تردد المجال المغناطيسي تمكن الباحثون من جعل الروبوتات النانوية تتحرك حسب الرغبة وتخترق بعمق داخل الأنابيب العاجية.
ويضيف سرينيفاس: "لقد أثبتنا أنه يمكننا استعادتها ويمكننا سحبها من أسنان المريض".
وكان الفريق البحثي قادرًا على معالجة المجال المغناطيسي لجعل سطح الروبوتات النانوية يولد حرارة يمكن أن تقتل البكتيريا القريبة.
ويقول ديبيان داسغوبتا، الباحث المشارك بالدراسة: "لا توجد تقنية أخرى في السوق يمكنها القيام بذلك الآن".
وفي السابق، استخدم العلماء الموجات فوق الصوتية أو نبضات الليزر لإنشاء موجات صدمة في السائل المستخدم لطرد البكتيريا وحطام الأنسجة لتحسين كفاءة علاج قناة الجذر، لكن يمكن لهذه النبضات أن تخترق مسافة تصل إلى 800 ميكرومتر فقط، وتتبدد طاقتها بسرعة، وكانت الروبوتات النانوية قادرة على الاختراق أبعد من ذلك بكثير، حتى 2000 ميكرومتر.
ويقول الباحثون إن استخدام الحرارة لقتل البكتيريا يوفر أيضًا بديلاً أكثر أمانًا للمواد الكيميائية أو المضادات الحيوية القاسية.
aXA6IDIxNi43My4yMTYuMjE0IA==
جزيرة ام اند امز