صور صادمة.. كيف يدمر "زيكا" مخ المواليد؟
الصور الجديدة تظهر آثار هجوم فيروس "زيكا" الكارثي على مخ الأطفال كما يرى من الداخل
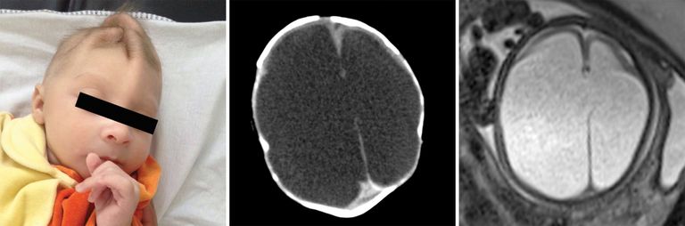
نشرت صحيفة "نيويورك تايمز" الأمريكية مجموعة من الصور الجديدة الصادمة، التي تظهر آثار هجوم فيروس "زيكا" الكارثي على مخ المواليد، كما يرى من الداخل، ما يوضح حجم المأساة التي يعيشها الأطفال المصابون وأسرهم.
وقالت الصحيفة، إن دراسة صور الأشعة على المخ، وصور الموجات فوق الصوتية لـ 45 طفلًا برازيليًّا أصيبت أمهاتهم بالفيروس خلال فترة الحمل تبين أنه يمكن أن يلحق أضرارًا جسيمة بعدة أجزاء مختلفة من مخ الجنين أكثر من مجرد تشوه الرأس، وهي حالة صغر الرأس غير المعتادة التي أصبحت بمثابة العلامة الخبيثة لـ"زيكا".
وأوضحت أن الصور التي نشرت، أمس الثلاثاء، في دورية "علم الأشعة"، تشير أيضًا إلى احتمال خطير؛ لأن بعض الأضرار تحدث في مناطق الدماغ التي لا تزال في طور النمو بعد الولادة، وربما يواجه الأطفال الذين يولدون بدون تشوه واضح مشكلات عندما يكبرون.
من جانبها قالت الطبيبة كاثرين واي سبوند، رئيس قسم الحمل، وفترة الولادة في معهد يونيس كينيدي شرايفر القومي لصحة الطفل والتنمية البشرية: "هذا يحضر حقًا إلى الواجهة أهمية فهم حقا تأثير فيروس "زيكا"، وحقيقة أننا بحاجة لمتابعة الأطفال الذين يتعرضون ليس فقط لزيكا في فترة الحمل، ولكن حتى أولئك الذين لا تظهر لديهم أية مضاعفات عند الولادة".

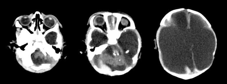
ويقول الخبراء، إن معظم الأطفال الذين شملتهم الدراسة ولدوا بتشوه الرأس، على الرغم من أن 3 لم يصابوا به، وكل منهم عانى تشوهات أخرى أيضًا، تظهر كلها تقريباً قبل صغر الرأس لأنه في الحقيقة نتيجة فشل الدماغ في النمو بشكل كامل أو تعرضه لأضرار على نحو مستمر.
من جانبها قالت الطبيبة ديبورا ليفين، وهي مؤلفة الدراسة وأستاذة الأشعة في كلية الطب بجامعة هارفارد، إن "المخ الذي ينبغي أن يكون هناك ليس هناك، والتشوهات التي نراها في الدماغ تشير إلى اختلال في عملية نمو المخ في وقت مبكر للغاية".

وتظهر صور الأشعة أن أهداف "زيكا" في المخ، التي يعرف بعضها الخبراء، تشمل "الجسم الثنفي" وهو الجزء الذي يسهل التواصل بين شطري الدماغ، والمخيخ الذي يلعب دورًا هامًّا في الحركة والتوازن والكلام؛ والعقد العصبية القاعدية التي تشارك في التفكير والعاطفة.


aXA6IDIxNi43My4yMTYuMjE0IA==
جزيرة ام اند امز