يصاب بعدوى فطرية في الرئة بسبب استنشاق جواربه
رجل صيني يصاب بعدوى فطرية حادة في الرئة لإدمانه استنشاق جواربه ذات الرائحة الكريهة.
هل سبق أن سمعت عن عادة استنشاق الجوارب ذات الرائحة الكريهة؟ ربما تعتقد عند سماعك هذا أن الأمر مجرد دعابة مضحكة، ولكن في الحقيقة هو غير كذلك، إذ أصيب مؤخراً رجل في مقاطعة فوجيان بالصين بعدوى فطرية في الرئة، بسبب عادته في استنشاق جواربه المتسخة.
وحسب ما ذكرته شبكة أخبار "جوان تشا" الصينية، كان المواطن الصيني البالغ من العمر 37 عاما، يشم جواربه ذات الرائحة الكريهة كل يوم بعد عودته من العمل، مما أدى إلى إصابته بالتهاب فطري حاد في رئتيه.

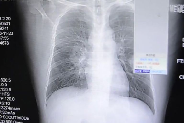
وأدخل الرجل، المعروف باسم بنغ، إلى المستشفى كحالة طارئة عندما بدأ في السعال بشكل سيئ وشهد آلامًا في الصدر، وبعد خضوعه للتصوير المقطعي بالأشعة السينية، أكد الطبيب أنه يعاني من التهاب شديد في الرئة.

وأصيب الطبيب بحالة من الدهشة بعد أن اعترف بعادته الغريبة، وأخبره أنه نتيجة لإدمانه الغريب، أصيب بعدوى فطرية تطورت في حذائه من قدميه المتعرقتين، وشقّت طريقها بعد ذلك إلى رئتيه أثناء استنشاقه للجوارب. وتم حجز بنغ في المستشفى لتلقي المزيد من العلاج.
aXA6IDIxNi43My4yMTYuMTAzIA== جزيرة ام اند امز