الفضاء يعيد تشكيل الدماغ.. واختلال التوازن الثمن الخفي
كشفت دراسة علمية حديثة أن قضاء فترات قصيرة أو طويلة في بيئة انعدام الجاذبية بالفضاء لا يؤثر فقط على العضلات والعظام.
ورصدت الدراسة المنشورة بدورية"بروسيدنجز أوف ذا ناشونال أكاديمي أوف سيانس"، حدوث تغيرات ملموسة في شكل الدماغ البشري، قد تفسّر الصعوبات التي يواجهها بعض رواد الفضاء في استعادة توازنهم بعد العودة إلى الأرض.

وأظهرت النتائج أن رواد الفضاء قد يطورون تغيرات قابلة للقياس في موضع وشكل الدماغ بعد أسابيع قليلة فقط من البقاء في الفضاء، بينما قد تستمر هذه التغيرات لمدة تصل إلى ستة أشهر أو أكثر لدى من يمضون فترات أطول في المدار.
ورغم أن هذه التغيرات دقيقة للغاية، لا تتجاوز بضعة مليمترات، فإنها تتركز بشكل أساسي في مناطق الدماغ المسؤولة عن التوازن، وإدراك وضعية الجسم، والتحكم الحسي الحركي، وهي وظائف ضرورية للحركة الطبيعية تحت تأثير الجاذبية الأرضية.
وقالت رايتشل سايدلر، أستاذة علم وظائف الأعضاء بجامعة فلوريدا وقائدة الفريق البحثي، إن الدراسة تُظهر "تغيرات شاملة في موضع الدماغ داخل الجمجمة بعد رحلات الفضاء وبيئات محاكاة انعدام الجاذبية"، مؤكدة أن هذه النتائج "ضرورية لفهم تأثيرات الفضاء على الدماغ والسلوك البشري".

وأوضح الباحثون أن غياب الجاذبية يؤدي إلى إعادة توزيع السوائل داخل الجسم، وهو أمر غير خطير بحد ذاته، لكنه يغير الطريقة التي يستقر بها الدماغ داخل الجمجمة. وأشارت دراسات سابقة إلى أن مركز كتلة الدماغ يتحرك إلى أعلى بعد العودة من الفضاء، مقارنة بالقياسات التي أُجريت قبل الرحلة.
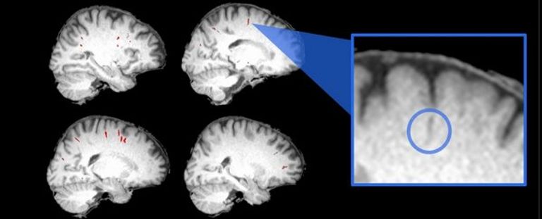
ولتعميق الفهم، حلل الفريق بيانات تصوير دماغي لـ26 رائد فضاء، إلى جانب بيانات 24 مشاركا في تجربة أرضية استمرت 60 يوما نظمتها وكالة الفضاء الأوروبية، حيث استُخدم الاستلقاء المائل بالرأس إلى أسفل لمحاكاة تأثيرات انعدام الجاذبية.
وأظهرت التحليلات أن الدماغ لا يتحرك ككتلة واحدة فقط، بل يتغير شكله أيضا، إذ تتحرك مناطق مختلفة في اتجاهات متباينة. وكانت التغيرات أكثر وضوحا لدى رواد الفضاء الذين أمضوا عاما كاملا في الفضاء، حيث وصل التغير في بعض المناطق إلى ما بين 2 و3 مليمترات.
كما رُصد تحرك البطينات الدماغية، وهي تجاويف مملوءة بالسوائل،إلى أعلى، ما يدعم فرضية أن إعادة توزيع السوائل تلعب دورا رئيسيا في هذه التغيرات.
ورغم ذلك، لم تربط الدراسة هذه التغيرات بأي تأثيرات على الشخصية أو الذكاء أو القدرات الإدراكية. لكن التأثير الأكبر ظهر في منطقة "الجزيرة الخلفية" من الدماغ، وهي المسؤولة عن معالجة التوازن. وارتبطت التغيرات الأكبر في هذه المنطقة بضعف التوازن بعد العودة إلى الأرض، وهو ما يشتكي منه العديد من رواد الفضاء لأيام أو أسابيع، مع استمرار تعافٍ حسي حركي دقيق لأشهر لاحقة.

ويرى الباحثون أن فهم هذه التغيرات قد يساعد في تطوير برامج أكثر فاعلية لإعادة تأهيل رواد الفضاء بعد مهماتهم، بما يضمن سلامتهم خلال رحلات الفضاء المستقبلية.
واختتم الفريق بحثه بالتأكيد على أن الآثار الصحية والأدائية لهذه التغيرات الدماغية "تتطلب كزيدا من الدراسة، لتمهيد الطريق نحو استكشاف فضائي بشري أكثر أمانًا".
aXA6IDIxNi43My4yMTYuNTYg جزيرة ام اند امز