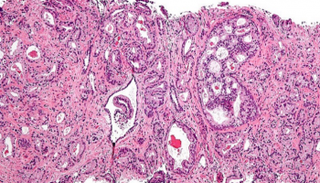
هطول الأمطار يزيد خطر الإصابة بالسرطان
الجلد ينتج فيتامين (د) استجابة لأشعة الشمس، واقترح الباحثون أن نقص هذا الفيتامين قد يكون عامل خطر لبعض السرطانات في المناطق الممطرة.
الجلد ينتج فيتامين (د) استجابة لأشعة الشمس، واقترح الباحثون أن نقص هذا الفيتامين قد يكون عامل خطر لبعض السرطانات في المناطق الممطرة.
سرطان القولون من الأمراض التي تصيب الإنسان نتيجة أسباب متعددة.. إليكم أهم أعراض وأسباب الإصابة بسرطان القولون وطرق الوقاية منه.
الشركة قالت إن علاجا تجريبيا لأحد أنواع أورام الدم المتقدمة قدم نتائج إيجابية خلال التجارب التي أجرتها وإنها ستتقدم للحصول على الموافقة
الباحثون فحصوا بيانات استهلاك منتجات الألبان لأكثر من 168 ألف امرأة وأكثر من 49 ألف رجل ليس لديهم تاريخ من أمراض السرطان أو القلب
معظم كريمات الفرد والصبغات الدائمة تحتوي على الفورمالديهايد وقطران الفحم اللذين يسببا السرطان ويغيران في هرمونات الجسم
دراسة تكشف عن أن تناول الدهون المشبعة يؤدي إلى إعادة برمجة خلوية مرتبطة بتطور سرطان البروستاتا والوفاة
دراسة أجراها باحثون أمريكيون أظهرت أن الرجال الذين يدخنون الحشيش بانتظام يزيد خطر تعرضهم للإصابة بسرطان الخصية
الباحثون فحصوا بيانات 3.2 مليون مريض سرطان مصابين بين عامي 1973 و2012 وخلال تلك الفترة توفي 38% منهم بالسرطان و11% بأمراض القلب
قدم خبراء من الولايات المتحدة في اليوم الأول محاضرات ركزت على أحدث أساليب تشخيص مرض السرطان واستخدام الذكاء الاصطناعي في علم الأورام
كانت هذه اخر صفحة
هناك خطأ في التحميل