تلوث الهواء يصيب الأطفال بالقلق
الذين تعرضوا لمستويات أعلى من التلوث، زادت لديهم مستويات الـ"ميو-إينوسيتول" التي تحدث غالبا في حالات الالتهاب.
يرتبط التعرض لتلوث الهواء بمشكلات الربو وأمراض الجهاز التنفسي، فضلاً عن أمراض القلب وزيادة خطر الإصابة بالسكتة الدماغية، ولكن دراسة حديثة أضافت تأثيرا آخر يتمثل في أنه قد يصيب الأطفال بالقلق.
وبحثت الدراسة التي نشرت في 20 مايو الجاري بدورية "الأبحاث البيئية"، وقادها باحثون من جامعة "سينسيناتي" الأمريكية، في العلاقة بين التعرض لتلوث الهواء المرتبط بحركة المركبات والقلق في مرحلة الطفولة، وذلك من خلال النظر في الكيمياء العصبية المتغيرة في مرحلة ما قبل المراهقة.
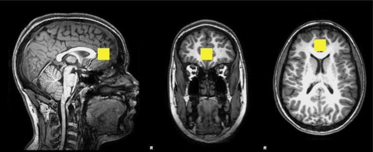
وخلال الدراسة فحص الباحثون مخ 145 طفلًا بمتوسط عمر 12 عامًا ، من خلال تقنية التصوير بالرنين المغناطيسي المتخصصة ، وذلك لتحديد مستويات الـ"ميو-إينوسيتول" الموجود في المخ، وهو مستقلب طبيعي يحدث بشكل أساسي في خلايا المخ المتخصصة المعروفة باسم "الخلايا الدبقية" ، والتي تساعد في الحفاظ على حجم الخلية وتوازن السوائل في الدماغ وتعمل كمنظمة للهرمونات والأنسولين في الجسم.
وترتبط الزيادات في مستويات الـ"ميو-إينوسيتول" بزيادة عدد الخلايا الدبقية ، والتي تحدث غالبًا في حالات الالتهاب.
ووجد الباحثون أنه من بين أولئك الذين تعرضوا لمستويات أعلى من التلوث، كانت هناك زيادات كبيرة في الـ"ميو-إينوسيتول" في المخ، مقارنة مع أولئك الذين تعرضوا لمستويات أقل.
كما لاحظوا أن الزيادة في الـ"ميو-إينوسيتول" تترافق مع أعراض القلق، حيث شهدت المجموعة الأكثر تعرضًا للتلوث، زيادة بنسبة 12% في أعراض القلق.
ويقول كيلي برونست، أستاذ مساعد في قسم الصحة البيئية في كلية الطب ورئيس الفريق البحثي في تقرير نشره موقع الجامعة بالتزامن مع نشر الدراسة: "هذه الزيادة الملحوظة في أعراض القلق العام في المجموعة التي تعرضت بشكل أكبر للتلوث، ليس من المرجح أن تؤدي إلى تشخيص سريري لاضطراب القلق".
ويضيف: "ومع ذلك، أعتقد أن التعرض المتزايد لتلوث الهواء مع الوقت يمكن أن يؤدي إلى مضاعفة مستويات "ميو-إينوسيتول"، ومن ثم يتطور الأمر إلى حدوث أعراض سريرية للمرض".

aXA6IDIxNi43My4yMTYuMTM0IA==
جزيرة ام اند امز