أداة جديدة تتفوق على البشر في تحديد أورام الرأس والعنق
أداة طبية تعتمد على تقنيات الذكاء الاصطناعي يمكن أن تساعد الأطباء على استهداف خلايا ورم الرأس والرقبة بشكل أسرع وأكثر دقة.
كشف علماء صينيون عن اختراق طبي جديد من شأنه إعطاء أمل لآلاف المرضى الذين يعانون من السرطان القاتل.
ووفقاً لشبكة أخبار "سوهو" الصينية، فإنَّ باحثين صينيين نجحوا لأول مرة على مستوى العالم في تطوير أداة طبيّة تعتمد على تقنيات الذكاء الاصطناعي، يمكن أن تساعد الأطباء على استهداف خلايا ورم الرأس والرقبة بشكل أسرع وأكثر دقة.
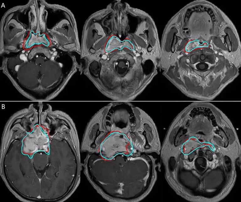
واستخدم الباحثون بقيادة البروفيسورة سون يينج التابعة لمركز السرطان بجامعة "صن يات سين" الصينية في مدينة قوانجتشو، الأداة الجديدة لتحقيق "التحديد التلقائي" لسرطان البلعوم الأنفي، إذ إنَّ معدل الإصابة بهذا النوع من السرطانات في الصين هو الأعلى في العالم.

وسرطان البلعوم الأنفي هو سرطان يصيب جزء الحلق الواصل بين مؤخرة الأنف ومؤخرة الفم، وتشمل أعراضه كتلا في الرقبة واحتقان الأنف والصداع وفقدان السمع.
ونظرا لصعوبة الوصول للبلعوم الأنفي في جسم الإنسان، فإن الجراحة صعبة دائما، والعلاج الإشعاعي هو أكثر أشكال العلاج شيوعا.
وفي حين يمكن للإشعاع أن يقتل الخلايا السرطانية، إلا أنَّه يجب أن يمر عبر نحو 40 عضوا حيويا بما في ذلك جذع الدماغ ومقل العيون قبل الوصول إلى البلعوم الأنفي.
وبحسب يينج، فإنَّ التعرّض للإشعاع غير الكافي قد يسبب تكرارا للسرطان، في حين أن التعرّض المفرط قد يؤدي إلى تلف في الدماغ وفقدان السمع وآثار جانبية أخرى.

والدقة في تحديد منطقة الورم المستهدفة لتجنب الإصابة العارضة للدماغ والأعضاء الحيوية الأخرى، هي مفتاح العلاج الإشعاعي لهذا النوع من السرطانات، ومع ذلك، فإن التحديد اليدوي يستغرق وقتاً طويلاً ومعدل دقة غير موثوق بها.
ولتجنب التحديد العشوائي للمنطقة المستهدفة للورم، وتعريض أعضاء الجسم الأخرى للخطر، طوّر باحثون تابعون لمركز السرطان التابع لجامعة "صن يان سين"، بالتعاون مع قسم علوم وهندسة الحاسوب في جامعة هونج كونج الصينية، أداة جديدة تعتمد على الذكاء الاصطناعي يمكن أن تحدد تلقائياً هدف الورم وحجمه من خلال بيانات التصوير بالرنين المغناطيسي بدقة عالية.

وأثناء الدراسة، جمع الباحثون بيانات التصوير بالرنين المغناطيسي التي تغطي البلعوم الأنفي من 1021 مريضاً بين عامي 2016 و2017 وتمَّ تطبيق أداة الذكاء الاصطناعي مع شبكة عصبونية التفافية ثلاثية الأبعاد، وهي تقنية جديدة لتجزئة الصور الطبية.
واكتشف الباحثون عن أن الأداة المطوّرة نجحت في تحديد حجم ومكان الورم تلقائيا في نحو 818 حالة بدقة عالية، وتمَّ تحديدها بتوافق آراء خبيرين بشريين.

وفي منافسة مع 8 أطباء مؤهلين من مستشفيات مشهورة على نحو 203 مرضى مصابين بسرطان البلعوم الأنفي في مراحل مختلفة، وصلت دقة تحديد الذكاء الاصطناعي إلى 79% في مدة زمنية لا تتعدى 20 إلى 50 دقيقة لكل حالة، متفوقاً بذلك على دقة المنافسين من البشر.
وقالت يينج إنَّ نتائج الدراسة الجديدة أظهرت أنَّه بمساعدة من الذكاء الاصطناعي يمكن للأطباء تحسين مستوى التشخيص والعلاج بسرعة، الأمر الذي سيكون له تأثير إيجابي على السيطرة على الورم وبقاء المريض على قيد الحياة.
aXA6IDIxNi43My4yMTYuMTAzIA== جزيرة ام اند امز