دراسة تكشف: وسيلة منع حمل شائعة تزيد خطر أورام الدماغ
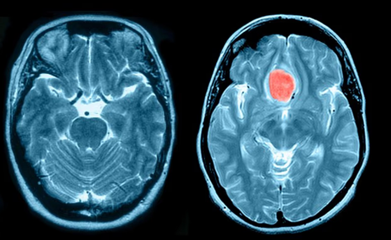
كشفت دراسة علمية حديثة أن النساء اللاتي يستخدمن حقنة منع الحمل الشهيرة "ديبو بروفيرا"، معرضات لخطر الإصابة بالورم السحائي.
وأوضحت الدراسة، أن المعدل يزيد، بمقدار ثلاث مرات ونصف عن غيرهن، وهو نوع من الأورام التي قد تكون قاتلة رغم كونها غير سرطانية في الغالب.

ووفقا للنتائج التي نُشرت في دورية "إكسبرت أوبينيون أون دراغ سيفتي"، فإن الخطر يتزايد لدى النساء اللاتي يستخدمن الحقنة لفترة تتجاوز 12 شهرا.
وتعد هذه الدراسة الثالثة خلال عام واحد التي تربط بشكل مباشر بين استخدام مادة "ميدروكسي بروجستيرون أسيتات" المكون الفعال في ديبو بروفيرا، وزيادة خطر الإصابة بورم السحايا، وهو أكثر أنواع أورام الدماغ شيوعا.. وفي إنجلترا وحدها، يُصرف نحو 10 آلاف وصفة طبية شهريا لهذا العقار.
دعاوى قضائية ضد الشركة المصنعة
أدى تصاعد المخاوف إلى قيام مئات النساء في المملكة المتحدة بالتفكير في رفع دعاوى قضائية جماعية ضد شركة فايزر المصنعة للعقار، بدعوى عدم تحذيرهن من المخاطر المحتملة.
كما تواجه فايزر أيضا دعوى جماعية في الولايات المتحدة تضم أكثر من 500 امرأة، تتهم الشركة وشركات أخرى بإخفاء معلومات حاسمة تتعلق بالمخاطر، وفشلها في تقديم بدائل أكثر أمانًا.
المخاطر مؤكدة
وفي أحدث الأبحاث، قام باحثون من جامعة كولومبيا البريطانية في كندا بتحليل بيانات أكثر من 72 ألف امرأة استخدمن ديبو بروفيرا، ومقارنتها بـ247 ألف امرأة استخدمن وسائل منع حمل فموية.
وأظهرت النتائج أن النساء اللاتي استخدمن الحقنة لفترات طويلة، كن أكثر عرضة بثلاث مرات ونصف للإصابة بورم سحائي، مقارنة بغيرهن.
أعراض ومخاطر مقلقة
رغم أن ورم السحايا عادة ما يكون حميدا (غير سرطاني)، إلا أنه قد يؤدي إلى أعراض شديدة مثل الصداع المزمن، اضطرابات الرؤية، فقدان السمع، ومشاكل في البلع أو الشم، وقد يضغط على الدماغ والأعصاب مسبّبًا مضاعفات قد تصل إلى الوفاة إذا لم يُعالج.
ويُشخص بين 2000 إلى 3000 حالة سنويا في المملكة المتحدة، وغالبا ما تصيب النساء أكثر من الرجال.

هل يجب القلق؟
وقال الدكتور مهیار إتمینان الباحث الرئيسي بالدراسة، إن الخطر لا يزداد طرديا مع عدد سنوات الاستخدام، لكنه شدد على أن وجود ثلاث دراسات كبيرة تؤكد نفس النتائج يجعل من الأمر "دليلا قويا" يجب أخذه على محمل الجد.
وأضاف: "النساء اللاتي يشعرن بالقلق قد يرغبن في التفكير في خيارات بديلة لمنع الحمل".
استجابة الهيئات الصحية
وفي أكتوبر الماضي، طالبت وكالة تنظيم الأدوية ومنتجات الرعاية الصحية البريطانية، شركة فايزر بتضمين تحذير رسمي بشأن هذا الخطر في نشرات الأدوية. كما أوصت الأطباء بعدم الاستمرار في وصف الدواء للنساء المصابات بورم السحايا.
وفي رسالة وجهتها الشركة إلى الأطباء في هيئة الخدمات الصحية الوطنية البريطانية ، دعت إلى وقف استخدام "ديبو بروفيرا" فورا لدى المريضات اللاتي يتم تشخيصهن بهذا الورم.
من جهتها، قالت المحامية الأمريكية فيرجينيا بيوكانان، من شركة ليفين بابانتونيو التي تقود الدعوى القضائية: "هذه الدراسة الجديدة تعزز موقف النساء اللواتي يسعين لتحقيق العدالة، بعد أن تم تعريض حياتهن للخطر دون تحذيرهن من آثار محتملة لدواء استخدمنه لسنوات".
aXA6IDIxNi43My4yMTYuMjE0IA== جزيرة ام اند امز