دراسة تكشف سر كورونا وتجلطات الدم
ربما وجدت دراسة، نشرت في أبريل/نيسان، المفتاح للأعراض الغريبة التي تصيب مرضى فيروس كورونا المستجد، وهو بطانة الأوعية الدموية
حصل الفيروس المسبب لمرض "كوفيد-19" على اسمه من هجومه على الجهاز التنفسي، لكن الأطباء يواصلون الإبلاغ عن معدلات مرتفعة من الإصابات بجلطات دم، وسكتات، ومشاكل بالقلب، والوذمة الدماغية بين مرضى فيروس كورونا المستجد (كوفيد 19).
والوذمة تعني وجود السوائل خاصة المياه في الفراغ الذي بين الخلايا. خروج المياه من الأوعية الدموية الى الفراغ البين خلوي ناتج عن تضرر الأوعية الدموية.
وطبقًا لصحيفة "ديلي ميل" البريطانية، كان الباحثون متشككين حول أن العدوى أكثر من مجرد مرض يصيب الجهاز التنفسي، لكن لم يكن لديهم تفسير، حتى وجدت دراسة، نشرت في أبريل/نيسان، المفتاح للأعراض الغريبة، التي تصيب مرضى فيروس كورونا المستجد، وهو بطانة الأوعية الدموية، التي تسمى البطانة الغشائية.
وذكرت "ديلي ميل" أن باحثين في سويسرا وجدوا أن الفيروس يهاجم الخلايا التي تبطن الأوعية الدموية، وهو ما قد يفسر تجلطات الدم المستمرة وفشل الأعضاء، وغيرها من أعراض ليس من المعتاد ظهورها في أمراض مرتبطة بالجهاز التنفسي مثل "كوفيد-19".

وأشارت الصحيفة إلى وفاة كثير من مرضى كورونا الجديد جراء تجلطات الدم، وليس فشل الرئتين.
في الولايات المتحدة، أبلغ بعض الأطباء أن 40% من مرضى فيروس كورونا أصيبوا بتجلطات دموية.
وأصبحت التجلطات أمرًا مقلقا للأطباء لدرجة أنهم أصبحوا يعطون المرضى أدوية لسيولة الدم، لكن رغم ذلك كثيرًا ما كانت المضاعفات تتواصل.
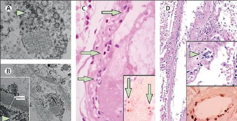
ووجد الباحثون بالمستشفى الجامعي في زيورخ نمطًا لدى 3 من المرضى، الأمر الذي أثار شكوكهم حول كيف يمكن أن تكون الأوعية الدموية العنصر المشترك بين فيروس كورونا وتلف الأعضاء، مثل: القلب، والكلى.

كان أحد المرضى رجلًا عمره 71 عامًا خضع في وقت سابق لعملية زرع كلية، وتوفى بعد 8 أيام على دخوله المستشفى للإصابة بـ"كوفيد-19".
بعد وفاته، وجد الأطباء خلايا التهابية ومؤشرات على أن الخلايا السليمة تموت في كليته المنقولة، والقلب، والأمعاء الدقيقة، فضلًا عن انسدادات في الأوعية الدموية للرئتين.
أما المريض الثاني، فكانت سيدة عمرها 58 عامًا، تعاني من السمنة، والسكري، وضغط الدم المرتفع، وعانت من فشل في الرئة، تبعها فشل في باقي الأعضاء.
وخلال اليوم 16 من تواجدها بالمستشفى، كان واضحًا أن جزءًا من أمعائها يموت، وتوفيت في النهاية جراء أزمة قلبية.
وتبين عند التشريح وجود نفس علامات الالتهابات في بطانة الأوعية الدموية بالرئتين، والقلب، والكلى، والأمعاء الدقيقة والكبد.
ومع المريض الثالث، وكان رجلا عمره 69 عامًا مصابا بضغط دم مرتفع ووضع على جهاز التنفس الصناعي بسبب إضعاف فيروس كورونا المستجد لرئتيه، وجدوا مجددًا أن التهابات الأوعية الدموية كنت تتسبب في موت الخلايا بالأمعاء الدقيقة.
وخلص الباحثون إلى أن الفيروس كان يؤثر بشكل مباشر على البطانة، المسماة البطانة الغشائية، الموجودة بالأوعية الدموية.
ويدخل فيروس كورونا الجديد خلايا الرئتين عن طريق مستقبلات (ACE2)، التي يشيع وجودها في الرئتين، كما تتواجد أيضًا في البطانة الغشائية، الأمر الذي يجعل الأوعية الدموية في الجسم سريعة التأثر بالعدوى، وهو ما قد يفسر الأعراض التي تظهر بين مرضى فيروس كورونا، من "أصابع كوفيد-19" إلى الالتهاب الشامل "متلازمة كاواساكي"، التي عانى منها الأطفال المصابون بالفيروس.
aXA6IDIxNi43My4yMTYuMjE4IA== جزيرة ام اند امز