لأول مرة في إيطاليا.. تجميد ورم نادر لدى 6 مرضى بـ"التبريد"
في إنجاز استثنائي، تمكن الأطباء في معهد طبي إيطالي من تجميد ورم نادر لدى 6 مرضى عن طريق العلاج بالتبريد.
حدث ذلك في معهد ريتسولي لجراحة العظام l’Istituto Ortopedico Rizzoli في مدينة بولونيا بشمالي البلاد، بتطبيق الأطباء العلاج بالتبريد، وهو تقنية إشعاعية تداخلية تسمح بتجميد الورم الذي ينخر، وبالتالي تحفيز الكتلة على الانكماش "تدريجياً حتى تختفي"، وفقاً لشبكة "Sky TG24" الإيطالية.
اختبرت هذه التقنية بالفعل في الولايات المتحدة وفرنسا، والتي نقلت للمعهد الإيطالي، وهو أول مركز في إيطاليا يستخدم العلاج بالتبريد لاستهداف بعض الأورام، بحصوله على نتائج ممتازة على 6 مرضى يعانون من الورم الليفي الجزئي، وهو ورم حميد ينمو بقوة في الأنسجة ويمكن أن يولد كتلا كبيرة مسببة ألماً شديداً وضغطاً على الأعضاء الداخلية وصعوبات حركية.

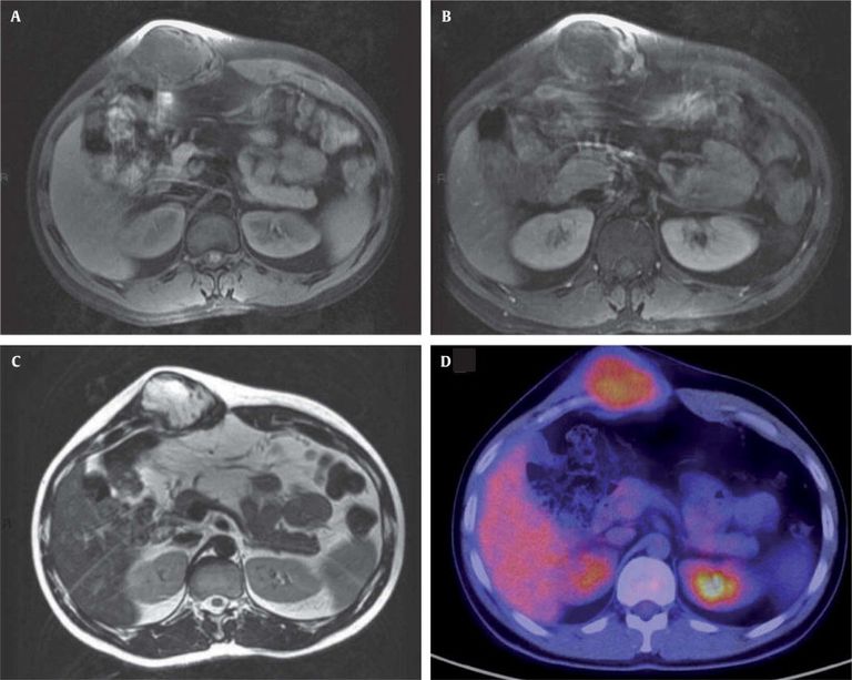
-حالة المريض الأول
يعود الفضل في نجاح هذه التقنية لعمل الدكتور كوستانتينو إيراني، من عيادة طب الأورام العظمية، والدكتور جيانكارلو فاكيني من الأشعة التشخيصية والتداخلية.
وعلق إيراني على حالة المريض الأول: "تعاملنا مع الشخص الأول بهذه التقنية في يوليو 2020، وبعد عام واحد يمكننا القول إن النتائج مذهلة، فالمريض هو رجل يبلغ من العمر 39 عاماً كان يعاني من آلام شديدة للغاية في منطقة نمو الورم، وهو الآن في حالة جيدة وقد اختفت الكتلة تقريباً، كل ذلك بفضل جلسة واحدة من العلاج بالتبريد".

-الورم الليفي الخبيث
هو شكل نادر من الورم الحميد، يتم تشخيصه في حوالي 150 مريضاً سنوياً في إيطاليا ويمكن أن يصيب جميع الأعمار، على الرغم من أنه يمكن التعرف عليه في الغالب بين الـ18 و35 عاماً، خاصة عند النساء في سن الإنجاب.
وعلى حد قول إيراني، فهو ورم نادر وحميد، لكن للأسف يمكن أن يكون شديد الإعاقة، مثل المعاناة من صعوبات حركية شديدة، وصعوبات حتى في الوقوف لفترات قصيرة وآلام مستمرة.
وأضاف: "حتى الآن، عندما يكون الوضع خطيراً ويحتاج إلى التدخل، يكون الخيار الأفضل هو العلاج الكيميائي بجرعة منخفضة، ولكنه لا يؤدي إلى اختفاء الكتلة ولكن يمكنه فقط منع تقدم المرض".
ولذلك شدد إيراني على أن الاستئصال الجراحي للورم لا يوصى به عادة، لأن مخاطر عودة الورم بشكل أكثر عدوانية مرتفعة للغاية.
ولكن اليوم، وبفضل النتائج الأولى لدراسة أمريكية وفرنسية متعددة المراكز، ولدت فكرة استخدام العلاج بالتبريد في إيطاليا، المستخدم بالفعل في أمراض أخرى، بما في ذلك هذا النوع من الأورام.

-العلاج بالتبريد
أوضح الخبراء أن العلاج بالتبريد أو الاستئصال بالتبريد هو تقنية تجرى تحت إشراف الأشعة.
على وجه الخصوص، واحدة أو أكثر من الإبر التي يمكن أن تجمد مساحة حوالي 3 سم، يتم إدخالها داخل كتلة الورم والغاز الذي يتم حقنه يجمد الورم، ما يمنعه من الاستمرار في التغذية.
ونتيجة لذلك، فإن كتلة الورم نفسها تنكمش حتى تختفي.
ولذلك، فإن التقنية المستخدمة في معهد ريتسولي، جعلت من الممكن علاج أول 6 مرضى من جميع أنحاء إيطاليا، الذين تسير متابعاتهم بشكل جيد للغاية والتي سمحت أيضاً برؤية تحسن فوري في الأعراض، كما لاحظ الأطباء.
aXA6IDIxNi43My4yMTYuMTAzIA==
جزيرة ام اند امز