اكتشاف فائدة مفاجئة لدواء الصرع.. يمنع أورام المخ
اكتشف باحثون في كلية الطب بجامعة واشنطن، أن دواء "لاموتريجين"، الذي يستخدم عادة لعلاج الصرع لدى الأطفال، يمكن أن يمنع تكوين ونمو أورام المخ لدى الأفراد المصابين بالورم الليفي العصبي من النوع الأول (NF1).
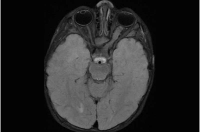
والورم الليفي العصبي من النوع الأول، هو اضطراب وراثي يؤدي إلى نمو الأورام على الأعصاب في جميع أنحاء الجسم، بما في ذلك الأعصاب البصرية.
وتشير الدراسة، التي نشرت في مجلة "علم الأورام العصبية"، إلى أن "اللاموتريجين"، يمكن أن يكون علاجا واعدا لمنع أو تأخير أورام المخ لدى الأطفال الذين يعانون من الورم الليفي العصبي من النوع الأول.
وقد دفعت هذه النتائج اتحاد التجارب السريرية الأمريكي، إلى النظر في إطلاق تجربة سريرية لتقييم فاعلية الدواء في منع تطور الورم لدى الأطفال الذين يعانون من المرض بدون أعراض.
وأظهرت الأبحاث السابقة التي أجراها الفريق أن "اللاموتريجين"، أوقف نمو الأورام الدبقية البصرية، وهي الأورام الأكثر خطورة المرتبطة بالورم الليفي العصبي من النوع الأول، وذلك عن طريق قمع فرط نشاط الخلايا العصبية.

وطلب اتحاد التجارب السريرية مزيدا من الأدلة قبل النظر في إجراء تجربة سريرية، بما في ذلك توضيح العلاقة بين طفرة الورم الليفي العصبي من النوع الأول، واستثارة الخلايا العصبية، والأورام الدبقية البصرية، بالإضافة إلى تأكيد فاعلية الدواء وسلامته في سلالات متعددة من الفئران المصابة بالمرض.
وأكدت الدراسة أن "اللاموتريجين" كان فعالا في سلالتين من الفئران المصابة بالمرض، حتى عند تناول جرعات أقل من تلك المستخدمة لعلاج الصرع، بالإضافة إلى ذلك، أظهرت دورة قصيرة من الدواء تأثيرات دائمة كإجراء وقائي وعلاج للأورام الدبقية البصرية.
وتشير هذه النتائج إلى أن دورة علاج "اللاموتريجين" لمدة عام واحد لدى الأطفال الصغار المصابين بالورم الليفي العصبي من النوع الأول، بدءًا من سن 2 إلى 4 سنوات، يمكن أن تقلل بشكل كبير من خطر الإصابة بأورام المخ.
ويوفر هذا التدخل المحتمل الأمل في تحسين تشخيص الأطفال الذين يعانون من الورم الليفي العصبي من النوع الأول وتجنب الحاجة إلى العلاج الكيميائي، وخاصة بالنسبة لأولئك المعرضين لخطر كبير لتكوين الورم.
aXA6IDIxNi43My4yMTYuMTY5IA==
جزيرة ام اند امز