طفل يبتلع 100 قطعة مغناطيس.. التحقيقات تكشف تفاصيل الحادث المروع
في واقعة طبية نادرة أثارت جدلًا واسعًا، نُقل طفل في نيوزيلندا إلى المستشفى في حالة حرجة، بعد ابتلاعه نحو 100 قطعة مغناطيسية صغيرة اشتراها عبر الإنترنت من منصة التسوق الصينية «تيمو»، مما تسبب له في أضرار جسيمة بالأمعاء.
وأفاد تقرير طبي نُشر في المجلة الطبية النيوزيلندية بأن المراهق، الذي لم يُكشف عن هويته، دخل مستشفى تاورانغا في الجزيرة الشمالية بعد معاناته من آلام شديدة بالبطن استمرت أربعة أيام. وكشف الأطباء أن الفتى اعترف بابتلاع ما بين 80 و100 مغناطيس قبل أسبوع من نقله إلى المستشفى.
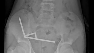
وبيّن الفريق الطبي أن هذه القطع تنتمي إلى نوع من المغناطيسات الصغيرة المحظورة في نيوزيلندا منذ عام 2013، وقد تم شراؤها من خلال منصة «تيمو». وأظهرت الأشعة أن المغناطيسات التصقت داخل الأمعاء مكوّنة أربع سلاسل متصلة، ما أدى إلى التصاق أجزاء من الأمعاء الدقيقة والغليظة وتلف في أنسجتها نتيجة الضغط المغناطيسي المستمر.
وخضع الطفل لعملية جراحية معقدة استمرت ساعات، تمكن خلالها الأطباء من إزالة القطع المغناطيسية والأنسجة المتضررة، قبل أن يستقر وضعه ويُسمح له بمغادرة المستشفى بعد 8 أيام من المراقبة الدقيقة.
وحذّر الأطباء من أن مثل هذه الحالات قد تؤدي لاحقًا إلى مضاعفات مزمنة تشمل انسداد الأمعاء أو آلامًا متكررة في البطن، داعين الأسر إلى مراقبة أبنائهم وتوعيتهم بخطورة اللعب بالمغناطيسات الصغيرة المنتشرة عبر الإنترنت.
من جانبها، أصدرت شركة «تيمو» بيانًا أعلنت فيه فتح تحقيق داخلي للتأكد من مطابقة المنتجات المعروضة على منصتها لمعايير السلامة في نيوزيلندا. وقال متحدث باسم الشركة: «نأسف لسماع تفاصيل الحادث، وبدأنا مراجعة شاملة للقوائم ذات الصلة لضمان الامتثال الكامل للمعايير المحلية».
وأضاف المتحدث أن الشركة لم تتمكن حتى الآن من تأكيد مصدر الشراء بشكل قاطع، لكنها تتعاون مع الجهات المختصة والمجلة الطبية النيوزيلندية للحصول على تفاصيل إضافية حول الواقعة.
aXA6IDIxNi43My4yMTYuNTgg
جزيرة ام اند امز