الإمارات تجمع دول العالم في تحدي الروبوتات
"فيرست جلوبال" حدث يركز على نجاح الفرق المتنافسة في تطوير روبوتات قادرة على أداء مجموعة من المهام
"فيرست جلوبال" حدث يركز على نجاح الفرق المتنافسة في تطوير روبوتات قادرة على أداء مجموعة من المهام
المسابقات تحقق تحولاً جذرياً في شخصية الشباب، وتحدث تغييرات إيجابية في المجتمعات الإنسانية من خلال تغيير ثقافة الأفراد
فريق اليمن المشارك في بطولة العالم للروبوتات والذكاء الاصطناعي "تحدي فيرست جلوبال" يطمح للفوز بإحدى جوائز البطولة التي تستضيفها دبي
المشروع يعمل على تمثيل كل لاجئ في جميع أنحاء العالم تكون لديه فكرة وقدرة على حل المشكلات
مؤسس "فيرست جلوبال" يقول إن اختيار دبي لاستضافة فعاليات بطولة العالم للروبوتات جاء لإيمان قادة دبي بخلق مستقبل أفضل للأجيال القادمة
أعضاء الفريق السعودي المشارك في "تحدي فيرست جلوبال" يطالبون دول العالم بالتعاون من أجل إيجاد حلول تسهم في القضاء على التلوث البيئي
يشارك في تحدي "فيرست جلوبال" العالمي أكثر من 500 متطوع ومتطوعة من دولة الإمارات العربية المتحدة والعالم
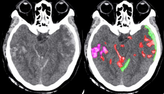
قريبا جدا سوف يصبح الذكاء الاصطناعي مساعدا للأطباء في توقيع الكشف على الحالات المتوقع تعرضها لنزيف المخ
تجتمع دول العالم تحت شعار تحدي العام "حماية المحيطات" لتوظيف الروبوتات في حماية المحيطات وتنظيفها
كانت هذه اخر صفحة
هناك خطأ في التحميل