ما أسباب انحسار اللثة؟.. استشر الطبيب في هذه الحالة
تحظى اللثة السليمة بأهمية كبيرة لصحة الأسنان، حيث إنها تعد بمثابة طبقة واقية تحمي الأسنان من البرودة والأحماض والبكتيريا.
وقالت مبادرة “ProDente” الألمانية، إن انحسار اللثة قد يرجع إلى سبب بسيط يتمثل في تقنية التنظيف غير الصحيحة؛ حيث يتسبب الضغط الشديد على اللثة أثناء تنظيف الأسنان في ضمورها.
كما قد يرجع انحسار اللثة إلى سبب خطير، ألا وهو الإصابة بالتهاب دواعم السن، وهو التهاب بكتيري يهاجم دواعم السن، وهي النسيج الداعم المحيط بالأسنان.
وشددت “ProDente” على ضررة استشارة طبيب الأسنان في حالة ملاحظة انحسار اللثة؛ نظرا لأنه في حالة انحسار اللثة تصبح أعناق الأسنان مكشوفة، ومن ثم تصبح حساسة تجاه السخونة والبرودة، كما أنها تصبح فريسة سهلة للبكتيريا، مما يؤدي في نهاية المطاف إلى تخلخل الأسنان وسقوطها.

ولتجنب هذه المخاطر، أوصت “ProDente” بالعناية الجيدة بالأسنان، وذلك من خلال تنظيفها بمعدل لا يقل عن مرتين يوميا بواسطة فرشاة أسنان ذات شعيرات ناعمة ومعجون أسنان يحتوي على الفلورايد، مع مراعاة الضغط برفق على الأسنان واللثة أثناء التنظيف.
ومن المهم أيضا الاهتمام بتنظيف الفراغات بين الأسنان بواسطة خيط الأسنان أو الفرشاة المخصصة لتنظيف الفراغات بين الأسنان.
وشددت “ProDente” على ضرورة استشارة طبيب الأسنان في حالة تكرار نزيف اللثة أثناء تنظيف الأسنان أو في حالة الشعور بحساسية الأسنان تجاه المشروبات والأطعمة الساخنة أو الباردة.
وتظهر أبحاث عدة أن شخصًا واحدًا من بين كل شخصين بالغين فوق سن الثلاثين في أمريكا لديه مرض من أمراض اللثة.
ويعد الفشل في اكتشاف أسباب أمراض اللثة وعلاجها مبكرًا، طريقا نحو الإصابة بأمراض اللثة الحادة، والمعروفة باسم "التهاب دواعم السن"، أحد أهم أسباب فقدان الأسنان للبالغين، وترتبط أمراض اللثة الحادة بأمراض أخرى، مثل القلب والأوعية الدموية.
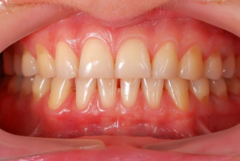
ويساعد شكل ومظهر اللثة على اكتشاف إصابتها من عدمه، فاللثة السليمة وردية اللون وثابتة الملمس ولا تنزف.
وعادة ما تكون اللثة غير الصحية حمراء ومتورمة وتنزف بسهولة أثناء تنظيف الأسنان بالفرشاة والخيط.
وقد يكون من المفيد مقارنة اللثة مع صور لثة صحية ولثة غير صحية للحصول على فكرة عن نوع الحالة التي قد تكون فيها، لكن طبيب الأسنان هو أفضل شخص يمكنك التحدث إليه من أجل تشخيص رسمي لأمراض اللثة.
وعندما تنزف اللثة فهذه علامة تحذير على احتمال الإصابة بأمراض اللثة، ويمكن أن يتسبب تراكم البلاك على الأسنان في احمرار اللثة وتورمها وتعرضها للنزيف.
aXA6IDIxNi43My4yMTYuMTkxIA== جزيرة ام اند امز