كورونا وصحة الفم.. تحذير من "البكتيريا العدوانية"
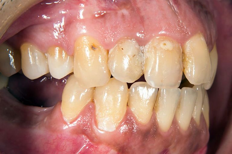
يعاني مرضى كورونا المصابون بأمراض اللثة من احتمالات أعلى للإصابة بمضاعفات خطيرة للمرض.
وبعد مرور عامين تقريباً على تفشي وباء فيروس كورونا المستجد، لا يزال هناك العديد من الجوانب المظلمة لفهم عدوى فيروس كوورنا، ومع ذلك يواصل العلماء معرفتهم يوماً بعد يوم بآثار الفيروس التاجي على جسم الإنسان وأجهزته المختلفة.
وثبت الآن على نطاق واسع أن التقدم في السن، والسمنة، وأمراض القلب والأوعية الدموية، تزيد بشكل كبير من مخاطر الإصابة بأحد الأمراض المعدية والمميتة.

ووجدت العديد من الدراسات أيضاً وجود ارتباطات غير بديهية ولكنها مقلقة، بزيادة خطر الإصابة بالفيروس التاجي، مثل ضعف صحة الفم.
وحددت دراسة "تأثير حالة صحة الفم على شدة COVID-19 وفترة الشفاء وقيم البروتين التفاعلي" المنشورة في المجلة البريطانية لطب الأسنان، أن أولئك الذين يعانون من سوء نظافة الفم في حالة الإصابة بكورونا، لديهم خطر أكبر من التعرض لأعراض شديدة للعدوى.
كما كشف بحث بعنوان "العلاقة بين التهاب اللثة وشدة عدوى كوفيد -19 أن مرضى كورونا الذين يعانون أمراض اللثة هم أكثر عرضة بمقدار 3.5 مرات لدخول المستشفى في وحدة العناية المركزة مقارنة بـالذين لا يعانون منها.
وكان الأمر الأكثر إثارة للصدمة هو أن المرضى الذين يعانون من أمراض اللثة المصابة بمسببات الأمراض الوبائية هم أكثر عرضة للوفاة بـ9 مرات من أولئك الذين لا يمتلكونها، وفقاً للدراسة الاستقصائية نفسها.

وطرحت مثل تلك الدراسات التساؤل حول علاقة المرض الناجم عن فيروس الجهاز التنفسي بسوء صحة الفم، وهو ما أجاب عنه الباحثان سيم كي. سينجراو وأليس هاردينج، وهما على التوالي باحث أول ومتخصص في رعاية الأسنان في مدرسة Ondotoology في جامعة سنترال لانكشاير بالمملكة المتحدة.
وأوضح الخبيران أن سوء صحة الفم قد ارتبط بتفاقم العديد من الأمراض الأخرى، خاصةً عندما يستمر لفترة طويلة، مشيرين إلى أن الخطر الرئيسي هو دسباقتريوز، وهي حالة تجعل البكتيريا الموجودة في تجويف الفم لدينا مسالمة في مسببات الأمراض العدوانية.

وإذا أصبحت البكتيريا "ضارة" فيمكنها أن تبدأ في مهاجمة أنسجة الفم وتدخل إلى مجرى الدم، وتعشش في أعضاء أخرى وتسبب الالتهاب، والذي بدوره يحفز خطر الإصابة بالأمراض المزمنة.
ووفقاً لما حدده سينجراو وهاردينج، يمكن أن يؤدي تداول هذه البكتيريا إلى هدم صحة القلب، ورفع ضغط الدم، وتفاقم مرض السكري، والتسبب في الولادة المبكرة، والتهاب المفاصل، وأمراض الجهاز التنفسي، والتنكس العصبي، وغيرها الكثير.
كما أوضح العالمان أن المرضى الذين يعانون من كوفيد الشديد لديهم مستويات عالية من علامة التهابية محددة تسمى CRP، ويصاب البعض أيضاً بـ"عاصفة السيتوكين"، وهي استجابة غير متكافئة للجهاز المناعي يمكن أن تكون أكثر شدة بكثير من الفيروس التاجي نفسه، مما يؤدي إلى ترسب السوائل في الرئتين، مما يؤدي إلى متلازمة الضائقة التنفسية الحادة (ARDS) و / أو قصور الأعضاء المتعددة، والتي تعد كلها حالات مرضية قاتلة.
وتسلط الدراسة المنشورة في المجلة البريطانية لطب الأسنان الضوء على أنه حتى الأشخاص الذين يعانون من سوء نظافة الفم يمكن أن يكون لديهم مستويات أعلى من بروتين سي التفاعلي والسيتوكينات، لذلك يُعتقد أن أمراض اللثة يمكن أن تنشط أيضاً استجابة التهابية مماثلة لتلك التي يسببها الممرض الوبائي.
وهناك عامل آخر يجب أخذه في الاعتبار، وهو عامل العدوى الفائقة.

في حالة الإصابة بفيروس كورونا وغيره من الأمراض الفيروسية مثل الإنفلونزا الحادة، فيُعد الجمع المحتمل مع العدوى البكتيرية الأصل مشكلة معروفة، إذ يمكن للبكتيريا في الواقع أن تستفيد من كائننا الحي الذي أضعفته الفيروسات لمهاجمتنا.
ووجدت دراسة بعنوان "العدوى المشتركة: قد تكون قاتلة وغير مستكشفة في COVID-19" المنشورة في المجلة العلمية The Lancet أن ما يصل إلى 50% من مرضى كوفيد الذين فقدوا حياتهم، مصابون بعدوى بكتيرية مشتركة.
ومع سوء نظافة الفم، نكون أكثر عرضة لعدوانية البكتيريا التي تعيش في الفم والتي يمكن أن تصل إلى الرئتين بسهولة أكبر.

علاوة على ذلك، يمكن للبكتيريا أن تغير خلايا تجويف الفم التي تحمينا من الاعتداءات الفيروسية والبكتيرية الأخرى.
كل هذا يمكن أن يزيد من خطر الإصابة بفيروس كورونا وتطوير الشكل الحاد من العدوى في حالة الإصابة.
ولهذا السبب، يوصي الخبراء دائماً بتنظيف الأسنان مرتين يومياً (لمدة دقيقتين في كل مرة) بمعجون أسنان يحتوي على الفلورايد والقيام بالزيارات المنتظمة لطبيب الأسنان.
aXA6IDIxNi43My4yMTYuMTYxIA==
جزيرة ام اند امز