هل لقاحات كورونا آمنة أثناء الحمل؟ دراسة تجيب
وجدت دراسة أمريكية جديدة، أجريت على مشيمة من السيدات اللائي تلقوا لقاح "كوفيد -19" أثناء الحمل، عدم وجود دليل على الإصابة بالفيروس.
ويضيف هذا الأمر دليل جديد على أن لقاحات "كوفيد – 19" آمنة أثناء الحمل.
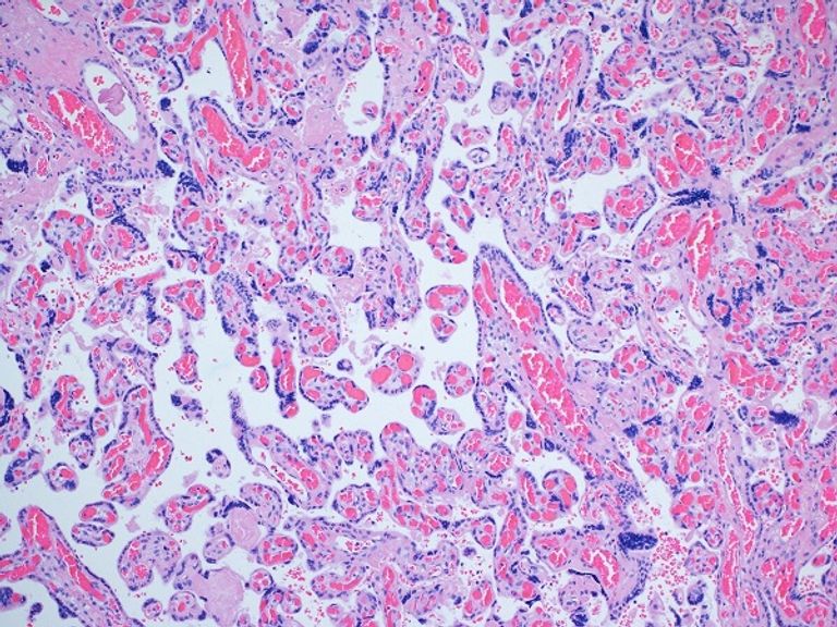
ويقول الدكتور جيفري جولدشتاين، الأستاذ المساعد في علم الأمراض بجامعة نورث وسترن الأمريكية، المؤلف المشارك بالدراسة التي نشرت في 11 مايو/ أيار في مجلة أمراض النساء والولادة: "المشيمة مثل الصندوق الأسود في الطائرة، إذا حدث خطأ ما في الحمل، فإننا عادة ما نرى تغييرات في المشيمة يمكن أن تساعدنا في معرفة ما حدث، وما يمكننا قوله أن لقاح (كوفيد -19 ) لا يضر المشيمة".
وتعد هذه الدراسة، التي أجرتها شركة "نورثويسترين ميدسين" الأمريكية، هي الأولى لفحص تأثير لقاحات (كوفيد -19) على المشيمة، كما تقول المؤلفة المشاركة في الدراسة الدكتورة إميلي ميلر، طبيبة طب الأم والجنين في نورث وسترن ميديسين وأستاذة التوليد وأمراض النساء في جامعة نورث وسترن ميديسين.
وتضيف: "لقد وصلنا إلى مرحلة في توزيع اللقاحات حيث نشهد ترددًا في تناول اللقاح، وهذا التردد واضح بالنسبة للحوامل، ويأمل فريقنا أن تتمكن هذه البيانات، وإن كانت أولية، من تقليل المخاوف بشأن مخاطر اللقاح على الحمل".

وجمع مؤلفو الدراسة مشيمة من 84 مريضة تم تطعيمهن و116 مريضة غير محصنة تمت ولادتهن في مستشفى برنتيس للنساء في شيكاغو وفحصوا المشيمة بشكل مرضي وبعد الولادة مجهريًا، وتلقى معظم المرضى لقاحات - إما موديرنا أو فايزر - خلال الثلث الثالث من الحمل.
وفي مايو/ أيار الماضي، نشر جولدشتاين وميلر ومتعاونون من مستشفى نورث وسترن وآن وروبرت إتش لوري للأطفال في شيكاغو، دراسة وجدت أن مشيمة النساء اللائي ثبتت إصابتهن بفيروس (كوفيد -19) أثناء الحمل أظهرن دليلًا على الإصابة.
وتقول ميلر إن الحوامل اللائي يرغبن في الحصول على التطعيم لتجنب الإصابة بالمرض يجب أن يشعرن بالأمان عند القيام بذلك.
وفي أبريل/ نيسان نشر العلماء دراسة أظهرت أن النساء الحوامل يصنعن أجسامًا مضادة لـ (كوفيد-19) بعد التطعيم ونقلها بنجاح إلى أجنتهن.
ويقول جولدستين: "إلى أن يتم تطعيم الأطفال، فإن الطريقة الوحيدة للحصول على الأجسام المضادة لـ(كوفيد -19) هي من أمهاتهم".
والمشيمة هي أول عضو يتشكل أثناء الحمل، ويقوم بأداء مهام لمعظم أعضاء الجنين أثناء تكوّنها، مثل توفير الأكسجين أثناء نمو الرئتين والتغذية أثناء تكوّن القناة الهضمية.
بالإضافة إلى ذلك، تدير المشيمة الهرمونات والجهاز المناعي، وتطلب من جسم الأم الترحيب بالجنين ورعايته بدلاً من رفضه باعتباره دخيلًا أجنبيًا.
ويقول جولدستين: "ضاعف الإنترنت من القلق من أن اللقاح قد يؤدي إلى استجابة مناعية تجعل الأم ترفض الجنين، لكن هذه النتائج تقودنا إلى الاعتقاد بأن ذلك لن يحدث".
aXA6IDIxNi43My4yMTYuMTY5IA== جزيرة ام اند امز