اختراق ثوري.. علاج جيني للأطفال المصابين بضمور الشبكية
حقق فريق من الباحثين بجامعة كلية لندن إنجازا كبيرا في مجال العلاج الجيني، حيث أظهرت النتائج تحسنا ملحوظا في حدة البصر وحفاظا على بنية الشبكية لدى الأطفال المصابين بضمور الشبكية الشديد المرتبط بجين "AIPL1".
وتعتبر هذه الدراسة الأولى من نوعها على البشر التي تستهدف هذا المرض النادر باستخدام العلاج الجيني.
ويتسبب ضمور الشبكية الناتج عن طفرات في جين " AIPL1 " في إحداث ضعف بصري شديد منذ الولادة، مع تدهور تدريجي في الرؤية وخيارات علاجية محدودة.

أظهرت الدراسات السابقة أن هناك فرصة حرجة للتدخل خلال مرحلة الطفولة المبكرة، حيث تظل بعض خلايا الشبكية سليمة، وفي تجارب سابقة على نماذج الفئران البشرية المصابة بنقص "AIPL1" أظهرت الدراسات استعادة جزئية لوظيفة الخلايا المستقبلة للضوء باستخدام العلاج الجيني.
ونشرت الدراسة تحت عنوان "العلاج الجيني للأطفال المصابين بضمور الشبكية الشديد المرتبط بجين AIPL1: دراسة تدخلية مفتوحة"، في مجلة " ذا لانسيت"، حيث قام الباحثون بإعطاء حقنة تحت الشبكية تحمل الفيروس المرتبط بالغدة المعدل (rAAV8.hRKp.AIPL1) الذي ينقل جين " AIPL1 " إلى عين واحدة لكل طفل، لتقييم أمان وفعالية العلاج في تحسين الوظيفة البصرية والحفاظ على بنية الشبكية.
شارك في الدراسة أربعة أطفال تتراوح أعمارهم بين 1 إلى 2.8 عاما، حيث تلقوا العلاج في عين واحدة باستخدام الجين "AIPL1"، وتمت متابعة الحالة الصحية والوظيفة البصرية على مدار 3.5 سنوات.

قبل العلاج، كانت حدة البصر محدودة لدى جميع الأطفال بدرجة لا تتعدى إدراك الضوء، ولكن بعد العلاج أظهرت العين المعالجة تحسنا ملحوظا في حدة البصر بمتوسط 0.9 مقارنة بالمستوى الأساسي البالغ 2.7، أما العين غير المعالجة فلم تظهر أي تحسن وتدهورت حالتها بمرور الوقت.
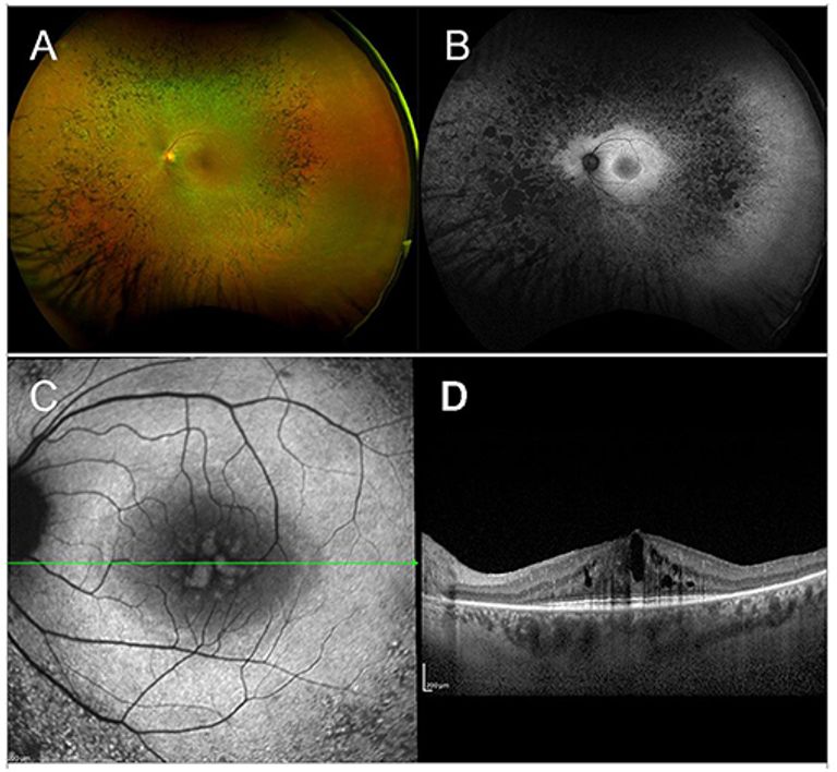
وأظهرت الاختبارات الموضوعية للأطفال الأكبر سنا تحسنا كبيرا في الاستجابة البصرية والقشرية للعين المعالجة، كما أظهرت صور الشبكية حفاظا أفضل على سمكها وترتيب طبقاتها في العيون المعالجة مقارنة بالعيون غير المعالجة.
وأثبتت الدراسة أن العلاج الجيني باستخدام الفيروس المرتبط بالغدة المعدل( rAAV8.hRKp.AIPL1 ) يمكن أن يؤدي إلى تحسن مستمر في الرؤية بدون تأثيرات جانبية خطيرة، مما يدعم التدخل المبكر لعلاج ضمور الشبكية المرتبط بجين " AIPL1 ".
aXA6IDIxNi43My4yMTYuMjE0IA== جزيرة ام اند امز