ما هو مرض «ليبتوسبيروز» الذي يهدد النازحين في غزة؟
يواجه النازحون في قطاع غزة، خطر الإصابة بمرض ليبتوسبيروز، وهو مرض بكتيري حاد ينتقل عبر بول الفئران والقوارض.
ويأتي ظهور المرض في ظل أزمة معيشية خانقة تشمل نقص المياه النظيفة وانعدام البنية التحتية الصحية، مما يجعل السكان أكثر هشاشة أمام الأمراض المعدية.

وأكد مدير الإغاثة الطبية بقطاع غزة، بسام زقوت، في تصريحات صحفية، تشخيص 5 حالات إصابة، لا تزال أربع منها في غرف العناية المركزة، محذرا من تفاقم انتشار المرض بين النازحين، بسبب الظروف البيئية الصعبة وسوء الصرف الصحي.
كيف ينتقل المرض؟
ينتقل ليبتوسبيروز إلى البشر غالبًا من خلال ملامسة المياه أو التربة الملوثة ببول الحيوانات المصابة، خاصة عبر الجروح والشقوق الجلدية أو الأغشية المخاطية.
ولا ينتقل المرض من شخص إلى آخر، لكنه يصبح خطرا كبيرا في ظل ظروف المخيمات المكتظة واختلاط مياه الصرف الصحي بمياه الأمطار، كما حدث بعد موجة الفيضانات الأخيرة التي ضربت غزة.
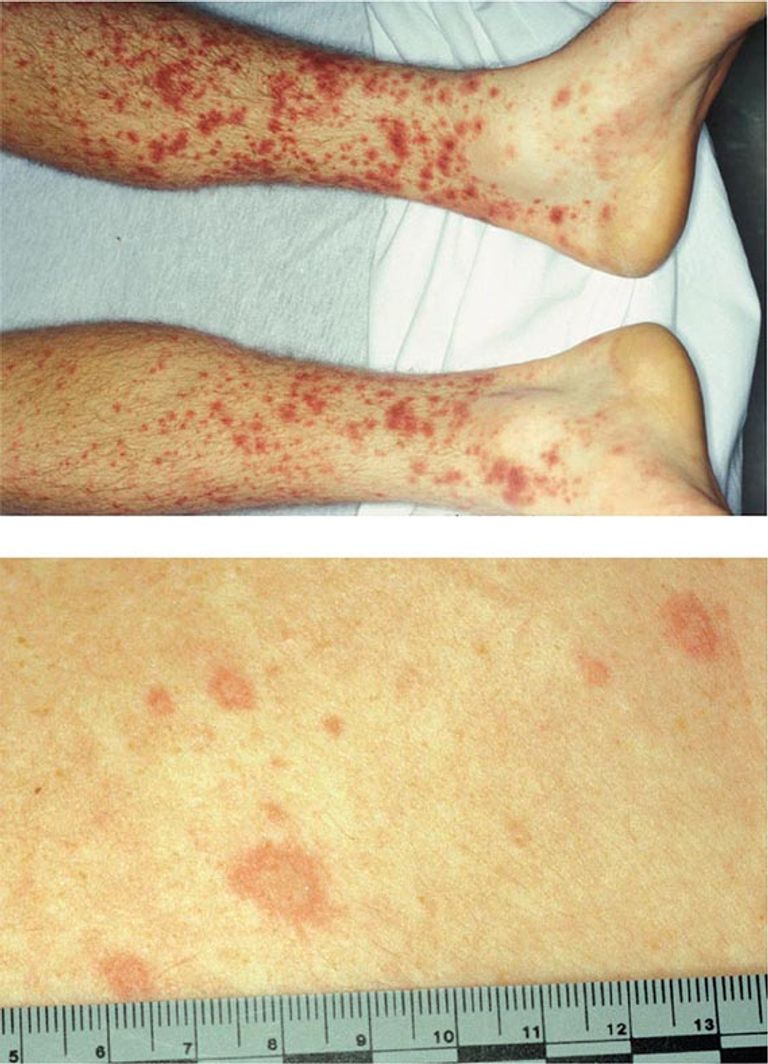
الأعراض والمضاعفات
تشمل أعراض المرض حمى مفاجئة وعالية الحرارة، ألم شديد في العضلات والعظام، صداع شديد وإرهاق عام، احمرار أو التهاب في لحمية العين، واصفرار الجلد والعينين في الحالات المتقدمة.
وفي الحالات الشديدة قد تتطور العدوى لتسبب الفشل الكلوي أو نزيفا داخليا، ومضاعفات على الكبد والرئتين، وقد تؤدي أحيانا إلى الوفاة إذا لم تُعالج مبكرا.
وتشير دراسات منظمة الصحة العالمية إلى أن ليبتوسبيروز مرض عالمي، ينتشر غالبا في المناطق الرطبة والمناطق المزدحمة بعد الفيضانات أو الكوارث الطبيعية. ويعتبر العاملون في الزراعة، والمياه، والأشخاص الذين يعيشون في ظروف فقيرة وصحية هشة أكثر عرضة للإصابة.
كما تؤكد الأبحاث أن التشخيص المبكر والعلاج بالمضادات الحيوية، مثل الدوكسيسيكلين أو البنسلين، يقلل بشكل كبير من خطر المضاعفات الخطيرة، ويحد من انتشار المرض بين السكان.

الوضع في غزة
وتفاعل ناشطون على منصات التواصل الاجتماعي مع الوضع الصحي الحرج، معبرين عن مخاوفهم من تفاقم انتشار المرض في ظل غياب الأدوية والمعدات الطبية اللازمة، وكتبت إحدى الناشطات: "الوضع الصحي في المخيمات كارثي، والأطفال في خطر شديد".
ودعا الناشطون المنظمات الحقوقية والصحية الدولية إلى التدخل العاجل لتوفير المياه النظيفة، وأدوات الوقاية، والأدوية، وتحسين البنية التحتية الصحية، مشددين على أن استمرار الظروف الحالية سيزيد من خطر تفشي الأوبئة والأمراض المعدية، وقد يؤدي إلى مزيد من الوفيات بين النازحين.
aXA6IDIxNi43My4yMTYuMTQxIA== جزيرة ام اند امز