تحذير من وسيلة منع حمل شائعة.. نساء يربطن استخدامها بأورام الدماغ
حذرت أم بريطانية من استخدام إحدى وسائل منع الحمل، والتي ارتبطت بمعانتها مع ورم دماعي نادر.
وكشفت الأم البريطانية "كلير لوف" في تصريحات لموقع صحيفة "ديلي ميل"، عن تشككها في ارتباط المرض بحقنة منع الحمل "ديبو-بروفيرا" التي استخدمتها لأكثر من عشر سنوات، محذرة نساء أخريات من المخاطر المحتملة لهذا النوع من وسائل تنظيم الأسرة.

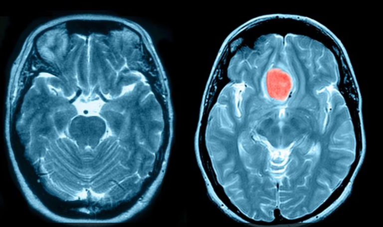
كانت كلير، 41 عاما، تعمل كمساعدة في مدرسة لذوي الاحتياجات الخاصة، تستيقظ ليلا بشكل متكرر تعاني من صداع، لكنها ظنت في البداية أن السبب هو الإجهاد الناتج عن مسؤولياتها كأم لطفلين من ذوي الاحتياجات الخاصة. وبعد ستة أشهر من تجاهل الأعراض، زارت طبيبها العام بناء على إلحاح زوجها، لتكتشف لاحقا إصابتها بـ"الورم السحائي" (Meningioma)، وهو أكثر أنواع أورام الدماغ شيوعاً.
يُعد الورم السحائي عادة بطيء النمو وغير سرطاني، لكنه يمكن أن يسبب مضاعفات خطيرة في حال ترك دون علاج، مثل فقدان البصر، وتغيرات في الشخصية، وفقدان الذاكرة، وحتى الشلل. وتحدث هذه الأورام عادةً لدى الأشخاص فوق سن الـ60، ما جعل تشخيص كلير في سن 35 أمراً غير معتاد.
بعد تشخيصها عام 2019 وخضوعها لجراحة استغرقت 15 ساعة لإزالة الورم، عانت كلير من مضاعفات شديدة شملت عدوى خطيرة داخل الجمجمة، واضطرت للعيش عشرة أشهر بدون عظم في مقدمة رأسها، مما أجبرها على ارتداء خوذة واقية عند الخروج من المنزل. لاحقاً، تم زرع صفيحة معدنية لتعويض الجزء المفقود من الجمجمة. وفي عام 2021، أصبت بنوبة صرع قوية أدخلتها في غيبوبة لمدة ثلاثة أيام، وتبين أنها ستحتاج لتناول أدوية مضادة للصرع مدى الحياة.
كلير ترجّح أن سبب الورم هو استخدامها لحقنة "ديبو-بروفيرا"، وهو وسيلة منع حمل هرمونية تحتوي على مركب اصطناعي من هرمون البروجستيرون، تُحقن كل ثلاثة أشهر. ورغم عدم تأكيد الأطباء للصلة، فإن دراسة نُشرت العام الماضي في مجلة "BMJ" أظهرت أن النساء اللواتي استخدمن "ديبو-بروفيرا" لأكثر من عام كنّ أكثر عرضة للإصابة بورم سحائي بمقدار خمسة أضعاف مقارنة بغيرهن.

الدراسة، التي أجرتها وكالة سلامة الأدوية الفرنسية، دفعت الهيئة البريطانية لتنظيم الأدوية (MHRA) لمطالبة الشركة المصنعة "فايزر" بتحديث النشرات الطبية المرفقة بالدواء، كما أوصت الأطباء بالتوقف عن وصف الحقنة للنساء المصابات بالورم.
وتشير تقارير إعلامية إلى أن مئات النساء في بريطانيا والولايات المتحدة بدأن بالفعل باتخاذ إجراءات قانونية ضد "فايزر"، على خلفية إصابتهن بأورام دماغية يُشتبه بارتباطها بهذا النوع من وسائل منع الحمل. وتقول كلير: "لو كنت أعلم بالمخاطر، لما استخدمت هذه الوسيلة أبداً".
وتضيف: "لم أعد كما كنت. حياتي تغيرت بالكامل، وأنا أعيش قلقاً دائماً على مستقبلي ومستقبل أطفالي. هدفي اليوم هو تحذير النساء الأخريات كي يطالبن بمعلومات واضحة قبل اتخاذ قرارات طبية تؤثر على حياتهن".