حاجة مصرية تستعيد بصرها في مكة المكرمة
فتاة مصرية، عمرها 16 عاماً، تستعيد بصرها على يد فريق مختص من مركز العلوم العصبية، بمدينة الملك عبدالله الطبية في مكة.
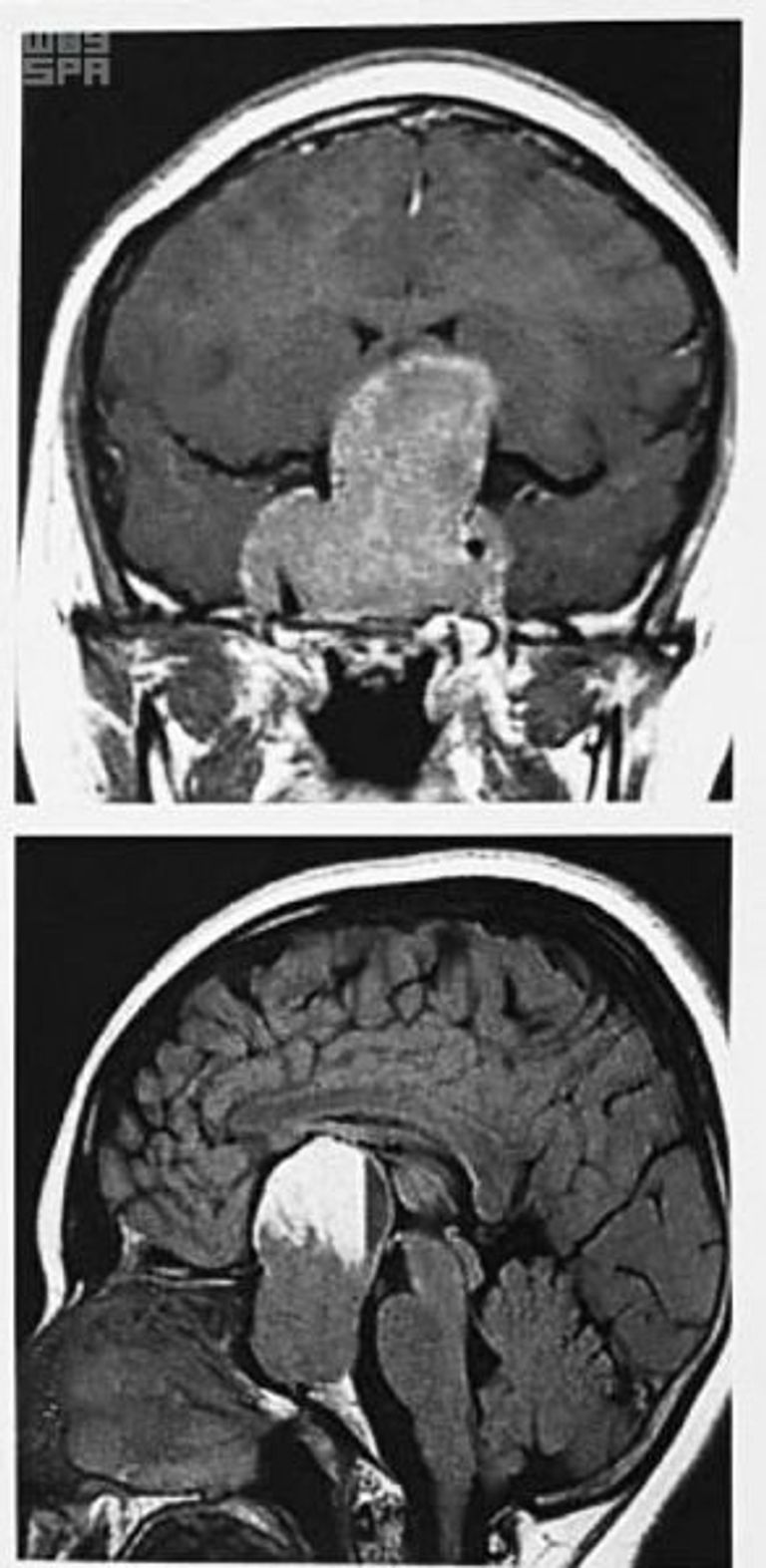
استعادت فتاة مصرية بصرها على يد فريق مختص من مركز العلوم العصبية بمدينة الملك عبدالله الطبية في مكة المكرمة، وذلك بعد عملية جراحية لقاع الجمجمة استغرقت 7 ساعات.
وتمحورت العملية حول استئصال ورم نازف في الغدة النخامية عن طريق الأنف.
وذكرت الإدارة الطبية أنّ المريضة، التي تبلغ من العمر 16 عاماً وأتت لأداء مناسك الحج مع والديها، أُحِيلت إلى المركز بعد فقدان شبه كامل للإبصار في العين اليسرى، وضعف شديد في العين اليمنى، نتيجة وجود ورم ضخم ونازف في الدماغ وتحديداً بالغدة النخامية، وضاغط على أعصاب العين.

وأشارت الإدارة إلى التعامل مع حالة الفتاة في وقت وجيز، والاستعانة بجميع الفرق الطبية من استشاريي جراحة مناظير الأنف والجيوب الأنفية وتخدير الأعصاب وطب العيون والغدد الصماء، إضافةً إلى العناية الحرجة وجراحي المخ والأعصاب.
واستأصل الفريق الطبي، المكوّن من استشاري جراحة المخ والأعصاب وقاع الجمجمة، الورم لتخفيف الضغط عن عصب العين، إثر عملية استغرقت 7 ساعات تكلّلت بالنجاح.
وتماثلت المريضة للشفاء تدريجياً، بعد أن تحسنت قدرتها على الإبصار مباشرة.
aXA6IDIxNi43My4yMTYuMTIwIA==
جزيرة ام اند امز