100 ساعة بـ"الرنين المغناطيسي" تكشف أسرار الدماغ
علماء أمريكيون يجرون 100 ساعة كاملة من المسح على الدماغ باستخدام واحدة من أكثر أجهزة التصوير بالرنين المغناطيسي تقدما.
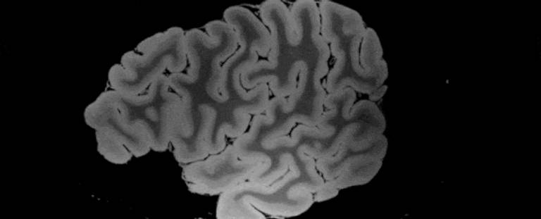
أجرى علماء من مستشفى ماساتشوستس العام، في بوسطن بالولايات المتحدة، أطول مسح تفصيلي بالرنين المغناطيسي (MRI) تم إجراؤه على الدماغ البشري، بفضل مريض متوفى مجهول الهوية.
وبحسب موقع "ساينس أليرت"، أجرى العلماء على مخ المريض 100 ساعة كاملة من المسح باستخدام واحدة من أكثر أجهزة التصوير بالرنين المغناطيسي تقدما.

وفي دراسة قادها براين إدلو، عالم التصوير العصبي من مستشفى ماساتشوستس، وصف الباحثون كيف سجلوا مجموعة بيانات التصوير بالرنين المغناطيسي عالية الدقة لعينات الجسم، ويقدمون رؤية لم يسبق لها مثيل من قبل "التشريح العصبي ثلاثي الأبعاد".
وجاء المخ من امرأة تبلغ من العمر 58 عاما تم إدخالها إلى المستشفى وهي مصابة بالحمى والإرهاق، وتطورت حالتها لاحقا لتصبح مشكلة في التنفس، وساءت حالتها أثناء إقامتها في المستشفى، وتوفيت بعد أسبوعين من الفشل التنفسي الناجم عن الالتهاب الرئوي الفيروسي.

وفي حين أن المريضة كان لديها تاريخ مع سرطان الغدد الليمفاوية وبعض الأمراض الأخرى، فلم يكن لديها أي سوابق في المشكلات العصبية أو الأمراض النفسية، مما جعل دماغها عينة قيمة للبحث العصبي في المستقبل.
وبعد فترة من الحفظ، تم وضع الدماغ في ماسحة تصوير بالرنين المغناطيسي اعتمدتها وكالة إدارة الغذاء والدواء FDA للاستخدام في الولايات المتحدة عام 2017، ليحصلوا على صور لم يسبق لها مثيل للدماغ البشري.

aXA6IDIxNi43My4yMTYuMTYxIA==
جزيرة ام اند امز