حين تتكلم العظام الثانوية.. قنوات دقيقة تروي قصة الحياة والموت
كشف دراسة جديدة لباحثين من جامعة كوينزلاند بأستراليا، أن العظام الثانوية تعد نافذة فريدة لفهم حياة البشر والحيوانات عبر العصور.
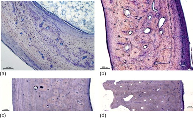
والعظام الثانوية هي وحدات دقيقة في العظام تتشكل نتيجة عملية إعادة بناء العظام التي تستمر طوال حياة الإنسان والحيوان، تتكون هذه الوحدات من قنوات مركزية محاطة بطبقات دائرية من النسيج العظمي، تعمل على تقوية العظام وتوزيع الأحمال عليها، كما تساعد في إصلاح التلف الناتج عن الإصابات أو الضغوط اليومية.

وتعتبر هذه العظام الثانوية مصدراً ثميناً للمعلومات العلمية، إذ يمكن من خلالها معرفة عمر العظام، صحة الفرد، مستوى النشاط البدني، وحتى وجود بعض الأمراض، والأهم من ذلك، أنها تحافظ على شكلها بعد الوفاة، مما يتيح للعلماء دراسة حياة البشر والحيوانات عبر العصور، وفهم نمط حياتهم وصحتهم في الماضي.
وقالت الدراسة المنشورة بدورية "بون ريبورتيز"، التي راجعت مقالات منشورة على قاعدة " ببمد"، إن العظام الثانوية لم تُدرس فقط في الطب الحيوي، بل امتدت أبحاثها إلى علم الحفريات وعلم الآثار البيولوجية، ما يتيح إمكانية تبادل البيانات والمعلومات بين التخصصات المختلفة لتعزيز المعرفة حول تطور العظام وإعادة تشكيلها.
وأشارت الدراسة إلى أن 9% من المقالات التي قدمت بيانات جديدة عن العظام الثانوية (بنحو 622 دراسة) ركزت على مواد أثرية أو أحفورية، ووفرت معلومات قيمة عن العمر والجنس والسلوك والتمييز بين الأنواع والتنوع التشريحي.

لكن الباحثين أكدوا أن استخدام العينات القديمة يواجه تحديات، مثل عدم معرفة التفاصيل الديموغرافية الدقيقة للعظام المدروسة، بالإضافة إلى تأثيرات التحلل والتحورات الناتجة عن الدفن والظروف بعد الوفاة، وهي عوامل لا تظهر عادة في العينات الطبية الحديثة.
وختمت الدراسة بالقول إن تحليل العظام الثانوية يُعد أداة متعددة الاستخدامات في مجالات أبحاث العظام المختلفة، مشجعة على التعاون بين التخصصات لتوسيع فهمنا لعمليات إعادة تشكيل العظام وتحسين المعرفة العلمية حول صحة العظام عبر الزمن.
aXA6IDIxNi43My4yMTYuMTAzIA== جزيرة ام اند امز