المصادفة تقود العلماء لحل أخطر المشاكل البيئية "نفايات البلاستيك"
العلماء اكتشفوا مادة جديدة قد تساعد على التخلص من أحد أكثر المشاكل البيئية التي تؤرق المعنيين بالبيئة، وهي نفايات البلاستيك.
لعبت الصدفة دورا فاعلا في الاكتشافات العلمية منذ زمن طويل، حيث قدمت بعض الحوادث العرضية اكتشافات عظيمة أحدثت تغييرات مصيرية مثل اكتشاف البنسلين والكينين والسكرين.
واليوم اكتشف العلماء مادة جديدة قد تساعدنا على التخلص من إحدى أكثر المشاكل البيئية التي تؤرق المعنيين بالبيئة، وهي نفايات البلاستيك.
فيبدو أن التخلص من النفايات البلاستيكية غير القابلة للتحلل بسرعة والتي تعمّر لمئات السنين بعد رميها في مكبات القمامة لن يكون مهمة مستحيلة بعد اليوم.
باحثون من جامعة بورتسموث اكتشفوا أنزيما يساعد على التخلص من البلاستيك وهضمه؛ ما يوفر حلا ممكنا لإحدى أكبر المشاكل البيئية في هذ العصر.
ومن الممكن أن يغير هذا الاكتشاف مستقبل الكوكب بالتخلص من ملايين الأطنان من الأواني والقوارير البلاستيكية المصنوعة من البولي إيثيلن، وهي المادة التي تبقى لمئات السنين في الأرض قبل أن تتحلل.

أشرف على البحث علماء من جامعة برتسموث والمختبر القومي للطاقة المتجددة التابع لوزارة الطاقة الأمريكية.
وحقق الباحثون هذا الاكتشاف خلال اختبارهم للهيكل الكرستالي لأنزيم PETase بهدف فهم آلية عمله، وهو يحلل البولي إيثيلن ويُعتقد أنه تطور في مركز لإعادة تدوير النفايات في اليابان وسمح لأحد أنواع البكتريا بتحليل البلاستيك واستخدامه كغذاء.
إلا أنهم صمموا خلال ذلك، وعن غير قصد، أنزيما يحلل البلاستيك بفعالية أكبر من الأنزيم الموجود في الطبيعة، كما يعملون على تطويره بشكل أكبر ليحلل البلاستيك خلال وقت أقصر ويتم طرحه للاستخدام الصناعي.
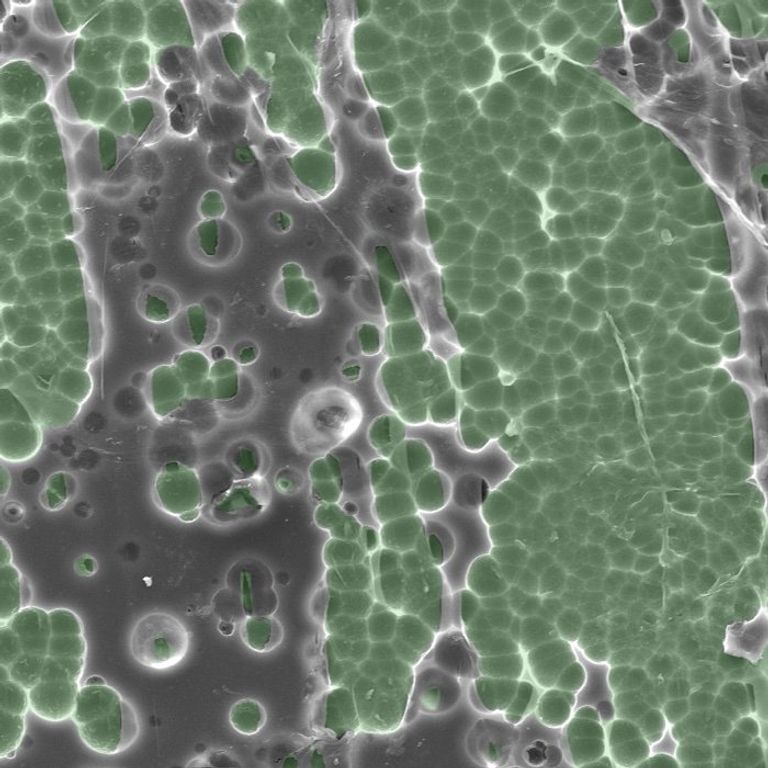
ويعُرف أن البولي إيثيلن يبقى لزمن طويل في الطبيعة ليتحلل دون تدخل خارجي، إلا أن أنزيم PETase يقلل هذه المدة إلى بضع ساعات فقط، فبعد 96 ساعة من استخدامه على البلاستيك يمكن ملاحظة عملية التحلل تحت المجهر الإلكتروني، وقد تم استخدامه بالفعل على بعض عينات البلاستيك من مكبات القمامة والمحيطات.
وبيّن البروفيسور ماغيان مدير معهد العلوم البيولوجية والعلوم الطبية الحيوية في كلية العلوم البيولوجية في جامعة بورتسموث أننا جميعا نتحمل النتائج الخطرة لتراكم البلاستيك على سطح الكوكب، وعلى المجتمع العلمي الذي قدّم لنا هذه الاكتشاف أن يسخر كل طاقاته لتطوير حل دائم لهذه المشكلة.
aXA6IDIxNi43My4yMTYuMTUzIA==
جزيرة ام اند امز