لأول مرة.. تشخيص إصابة "السل الكلوي" في مومياء مصرية بإسبانيا
نجح فريق بحثي إسباني في اكتشاف أقدم إصابة معروفة بـ "السل الكلوي" في حالة مومياء محفوظة في حالة المتحف الوطني الأركيولوجي في لشبونة.
والسل الكلوي من الحالات المزمنة، وبشكل عام، تظهر الحالة بسبب بكتيريا تُعرف باسم "المتفطرة السليّة"، ويمكن أن تصيب كلا الكليتين، فتؤدي إلى فشل كلوي وحتى الوفاة.
وتبدأ الحالة عادةً في الرئتين، وتصل المتفطرة السليّة إلى الكليتين عن طريق الدم، ويعتبر هذا النوع هو ثاني أشكال السل الأكثر شيوعًا، بعد السل الرئوي.

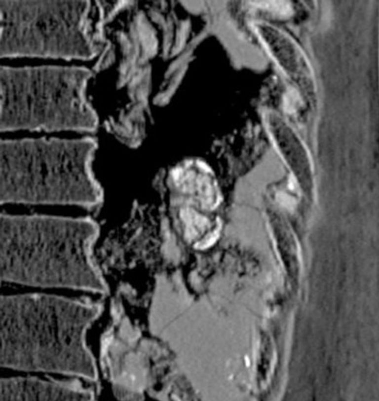
وخلال دراسة نشرت في "المجلة الدولية لعلم الأمراض القديمة"، أظهر التصوير المقطعي المحوسب، أن المومياء " إرتييرو" الموضوعة في الكارتوناج، والتي تعود إلى الفترة الانتقالية الثالثة (من 1070 قبل الميلاد حتى 664 قبل الميلاد)، كان لديها بنية صغيرة كثيفة على شكل حبة الفول في المنطقة اليسرى أسفل الظهر، ويدعم هذا الموقع التشريحي والتحليل المورفولوجي والهيكلي تشخيص مرض السل الكلوي في مرحلته المتأخرة.

ويقول الفريق البحثي، إنه إذا كان هذا التشخيص صحيحًا، سيكون هذا أقدم مثال على مرض السل الكلوي، وأول مثال يتم تسجيله في مومياء مصري قديم تم تحنيطه عمدًا.

وسبق أن رجح فريق بحثي سويسري من كلية الطب في جامعة زيورخ أن يكون مرض السل الرئوي هو السبب في الآفات العظميّة متعددة البؤر التي وجدت في مومياء طفل مصري محفوظة في متحف الفن والتاريخ في جنيف بسويسرا.
وفي دراسة نُشِرت تفاصيلها بدورية العلوم الأثرية في عام 2019، تم إخضاع المومياء للتصوير المقطعي والأشعة السينية التي كشفت عن إصابة صاحبها بآفات عظميّة صلبة متعددة البؤر تؤثر على العمود الفقري والورك الأيسر.
ورغم عدم استبعاد الباحثين سيناريو تغيّر الأنسجة بفعل عمليات التجفيف والتحنيط التي أجريت للمومياء ما ساهم في إحداث تشوهات بالتشريح المورفولوجي أدت لهذه الأعراض، لكنهم أكدوا أنَّ الاحتمال الأرجح هو إصابة صاحبها بالسل الذي أدّى إلى تلك التشوهات.
aXA6IDIxNi43My4yMTYuMTg4IA== جزيرة ام اند امز