"البكتيريا القولونية" ليست الأولى.. 10 أمراض كشفتها المومياوات
أعلنت دورية "كومينيكيشن بيولوجي" في 15 يونيو/حزيران الجاري عن العثور على شظايا من بكتيريا الإشيريكية القولونية في مومياء إيطالية.
البحث بالتعاون مع جامعة باريس الفرنسية وجامعة بيزا الإيطالية، وكشف عن شظايا من بكتيريا الإشيريكية القولونية في الحصوة المرارية لمومياء إيطالية من القرن السادس عشر، عمرها 436 عاما، ليثير ذلك تساؤلات حول مدى احتفاظ المومياوات بأسرار مرضية مر عليها مئات وأحيانا آلاف السنين.
ربما ترجع قيمة الاكتشاف الأخير في المومياء المحفوظة بدير القديس "دومينيكو ماجوري" في نابولي، لشخص يدعى "جيوفاني دافالوس"، من فئة النبلاء في عصر النهضة، إلى أنه لا توجد سجلات تاريخية للوفيات التي تسببها بعض البكتيريا مثل الإشريكية القولونية.
البكتيريا القولونية
وكما يقول الباحثون في دراستهم، إنه على على عكس الأوبئة الموثقة جيدًا مثل الطاعون أو ما يعرف بـ"الموت الأسود"، والتي استمرت لقرون وقتلت ما يصل إلى 200 مليون شخص في جميع أنحاء العالم، لا توجد سجلات تاريخية للوفيات التي تسببها هذه البكتيريا القولونية، على الرغم من أن تأثيرها على صحة الإنسان والوفيات كان هائلا على الأرجح، وهو ما جعلهم سعداء بالعثور على هذه البكتريا في المومياء الإيطالية.
سعادة هؤلاء الباحثون كانت لا تقل عن أقرانهم الذين وثقوا أيضا أصولا قديمة لأمراض لا تزال تعيش بيننا إلى الآن في مومياوات بعضها أقدم بكثير من المومياء الإيطالية.

عيب نادر بالقلب
وقبل نحو 8 أعوام، أعلن باحثون اكتشاف سبب وفاة "طفل ديتمولد"، وهو أحد أشهر أقدم المومياوات في العالم، حيث وجدوا أن سبب الوفاة يكمن في عيب نادر وخطير في القلب، وهو متلازمة نقص تنسج الجانب الأيسر للقلب، وهي حالة خلقية نادرة لا تنمو فيها أجزاء من الجانب الأيسر من القلب بشكل كامل، ويعتقد أن الطفل كان يبلغ من العمر عشرة أشهر وقت الوفاة.
واكتشفت هذه المومياء فيما يعرف الآن بـ "بيرو"، وجرى تأريخ الجثة بالكربون المشع، حيث وجدوا أنها ترجع إلى 4504 - 4457 قبل الميلاد، ما يجعلها ضعف عمر مومياء الفرعون المصري توت عنخ آمون.

الروماتيزم
أظهرت فحوصات أجريت قبل نحو 3 أعوام في الإكوادور لمومياء، أنه صاحبها كان مصابا بالروماتيزم.
وقال العالم الفرنسي وخبير في الطب الشرعي فيليب شارليي في مؤتمر صحفي حينها، إن هذه المومياء التي تم العثور عليها في جدران كنيسة بعد زلزال عام 1949، قد تساعد في فهم تاريخ المرض.
وأضاف "الروماتيزم، مرض مهم، وشائع في هذه الأيام، ولكن مصدره هو قارة أمريكا، من قبل وصول كريستوفر كولمبوس، وهذه المومياء، تعود لرجل، وقد تساعدنا على معرفة أسباب المرض، وكيف انتشر حول العالم".
تسمم بالرصاص
وفي أبريل من العام الجاري، اكتشف فريق بحثي دولي تقوده ستيفاني بانزر، الباحثة بقسم الأشعة بجامعة باراسيلسوس الطبية في ألمانيا، أول حالة تسمم بالرصاص في مصر القديمة، كانت تخص طفل توفي في سن السابعة أو التاسعة.
وتم التوصل لهذا الاكتشاف أثناء فحص 21 من مومياوات الأطفال من مصر القديمة باستخدام التصوير المقطعي المحوسب، للتحقيق في مدى انتشار خطوط توقف النمو، والمعروفة أيضا باسم "خطوط هاريس".
وبينما عثر الباحثون على تلك الخطوط في 18 مومياء من أصل 21 ( نسبة 86%)، كانت هناك حالة فريدة لطفل عاني من تسمم الرصاص، والذي تم اكتشافه من وجود ما يعرف بـ "خطوط الرصاص".

تصلب الشريان المحيطي
وفي أكتوبر من العام الماضي وثقت دراسة نشرت في "المجلة الأوروبية لجراحات الأوعية الدموية وداخل الأوعية الدموية"، لأول إصابة تاريخية بتصلب الشرايين المحيطي في مومياء عثر عليها قبل سنوات خلال حملة تنقيب بالتعاون بين المعهد الألماني للآثار بالقاهرة والمجلس الأعلى للآثار في مقبرة طيبة الغربية بمنطقة (الشيخ عبد القرنة) بالأقصر، وهي المقبرة الكبيرة لعاصمة مصر القديمة خلال المملكة الحديثة والفترات اللاحقة (حوالي1550-700).
وتصلب الشريان المحيطي (PAD)، يصيب الشرايين الطرفية الأبعد، وكان سببا في بتر أطراف المومياء واستخدام طرف صناعي تعويضي كعلاج للبتر، كما أعلن الفريق البحثي الذي فحص المومياء من معهد علم الأمراض في ميونخ بألمانيا، وكلية الطب بجامعة إيست أنجليا ببريطانيا.

أمراض الأسنان
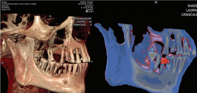
توصلت دراسة يونانية نشرت في أغسطس من عام 2020 بدورية " السجل التشريحي"، إلى أن مومياء مصرية قديمة تنتمي إلى العصر البطلمي، عثر عليها في بانوبوليس القديمة ( مدينة أخميم بسوهاج جنوب مصر حاليا) توثق لمعرفة المصريين القدماء بأمراض الأسنان.
وعثر الباحثون الباحثون خلال الدراسة على تجويف مسامي في الأسنان معبأ بمواد واقية في المومياء (AIG. 3343 ) التي توجد من بين مقتنيات المتحف الأثري الوطني بأثينا، بما يشير وفق الدراسة إلى أن المصريين القدماء عرفوا حشو الأسنان، ليكونوا أول من عرفوا هذه الممارسة في وقاية الأسنان.

السل
تم تسجيل أقدم إصابة بالسل في مومياء طفل مصري محفوظة في متحف الفن والتاريخ بجنيف في سويسرا، وذلك خلال دراسة نشرت في ديسمبر من عام 2018 بدورية العلوم الأثرية.
وكشف التصوير المقطعي المحوسب عن وجود آفات عظمية صلبة متعددة البؤر تؤثر على العمود الفقري والورك الأيسر في مومياء الطفل التي يرجع تاريخها إلى العصر الروماني، ورجحوا أن ذلك بسبب إصابته بالسل.

سرطان العظام
وقبل ثلاث سنوات من اكتشاف السل في المومياء المصرية، كان فريق بحثي من جامعة خاين الإسبانية على موعد مع تسجيل أقدم إصابة لسيدة مصرية بسرطان العظام.
واستخدم الفريق البحثي تقنية التصوير المقطعي المحوسب بمستشفى أسوان الجامعي لفحص 4 مومياوات فرعونية استخرجت من مقابر الأمراء جنوب مصر، وعثروا في إحداها على علامات محددة بعظام المومياء تدل بشكل قاطع على إصابتها بمرض السرطان الذي أعاقها عن القيام بأي عمل وظلت تتلقى العلاج حتى وفاتها.

الالتهاب السحائي
ومن السرطان إلى الالتهاب السحائي، حيث تمَّ تسجيل ارتباط بين العدوى البكتيرية المسببة للمرض وجمجمة لمومياء طفل يتراوح عمره بين 6 و8 سنوات في إحدى المقابر بمنطقة مصر الوسطى، وتم الإعلان عن ذلك في الدراسة المنشورة في مايو من عام 2018 بدورية "جراحة المخ والأعصاب"، من قبل باحثين من جامعة مدريد بإسبانيا فصحوا جمجمة الطفل.

تصلب الشرايين
وبينما تمَّ وصف مرض تصلب الشرايين على أنه من الأمراض المستحدثة المرتبطة بالتدخين والنظام الغذائي، كشفت دراسة دولية عام 2013 شارك فيها فريق بحثي من المركز القومي للبحوث، أن هذا المرض كان موجوداً في مصر الفرعونية.
وعثر الفريق البحثي على هذا المرض في عدد كبير من المومياوات التي تمَّ فحصها، بما يؤكد أنه ليس مرضاً مستحدثاً.

aXA6IDIxNi43My4yMTYuMTE5IA== جزيرة ام اند امز