«مدمن نكات».. حالة عصبية نادرة تحول الحياة إلى سلسلة من المزاح
قد يؤدي تلف الدماغ إلى تغييرات جذرية في الشخصية، وفي حالات نادرة، يمكن أن يصبح المرضى "مزاحين قهريين".
وفي هذه الحالة يعجزون عن مقاومة الرغبة في إطلاق النكات والمزاح الطفولي، حتى في المواقف غير المناسبة.
ويستعرض تقرير نشره موقع "ساينس أليرت"، تفاصيل تلك الحالة، من خلال دراسات تناولتها، ومنها دراسة حالة شهيرة من عام 2016 تصف رجلاً يبلغ من العمر 69 عاما، تعرض لسكتة دماغية وأصيب بحاجة ملحة لا يمكن السيطرة عليها للمزاح.
هذا الرجل، الذي كانت رغبته في إلقاء النكات قوية للغاية، كان يوقظ زوجته ليلا لمشاركتها نكتة جديدة، ما دفعها لطلب منه تدوين نكاته بدلاً من إيقاظها، وعندما قابل فريقاً من أطباء الأعصاب لأول مرة، أحضر معه نحو 50 صفحة مليئة بالنكات، معظمها مزاح طفولي أو نكات ذات طبيعة جنسية أو هزلية.

تم تشخيص الرجل بمرض نادر يُعرف باسم "ويتزلزوخت" (Witzelsucht)، وهو مجموعة من الأعراض التي تتميز برغبة لا تقاوم في المزاح، وغالبا ما تكون هذه النكات غير ملائمة من حيث التوقيت أو تتسم بطابع هجومي، بينما يظل صاحب النكتة غافلاً عن ذلك ومستمتعاً بذكائه الخاص.
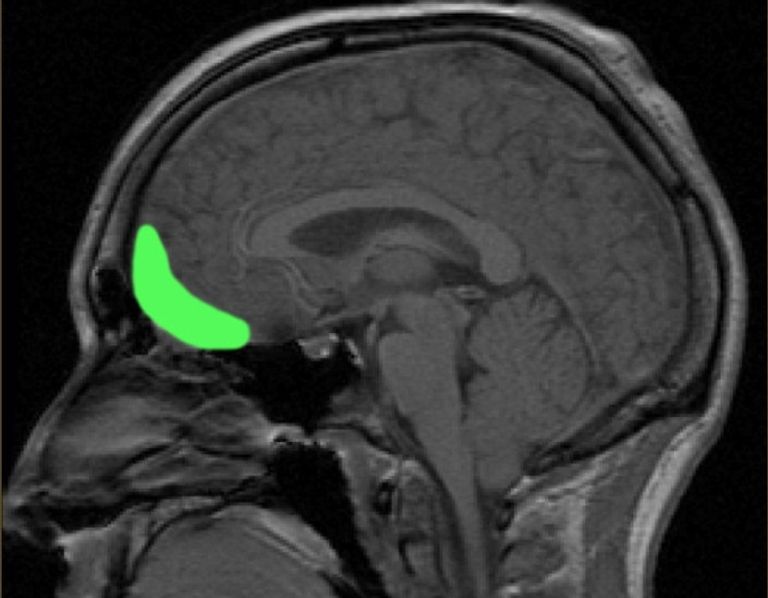
مصطلح "ويتزلزوخت" (مزيج من الكلمتين الألمانيتين "نكتة" و"إدمان") ظهر لأول مرة في عام 1890 على يد طبيب الأعصاب الألماني هيرمان أوبنهايم، الذي لاحظ أن تلف الفص الأمامي الأيمن من الدماغ، سواء كان نتيجة لإصابة أو مرض، يؤدي أحياناً إلى سلوك مزاح مفرط لدى المرضى.
وفي عام 1929، قام جراح الأعصاب الألماني أوتفريد فورستر بإجراء عملية جراحية في الدماغ على مريض كان مستيقظاً، وعندما حرك جزءا معينا من الدماغ، بدأ المريض فجأة بإطلاق نكات بلغات متعددة منها اللاتينية واليونانية والعبرية والألمانية.
هذا الاكتشاف ساعد العلماء في تحديد المنطقة المسؤولة عن المزاح في الدماغ، ومع ذلك، لا يزال مدى انتشار مرض "ويتزلزوخت" أو كيفية علاجه غير مفهوم تماماً حتى اليوم، إذ لا تزال الحالات المسجلة نادرة.
عالم الأعصاب ماريو مينديز، إلى جانب زملائه في جامعة كاليفورنيا بلوس أنجلوس (UCLA)، هو من استقبل الرجل حامل الـ 50 صفحة من النكات، وقد نشر منذ عام 2005 عدة دراسات أخرى عن حالات "ويتزلزوخت".
واليوم، يدرك العلماء أن "ويتزلزوخت" يمكن أن يتداخل مع مجموعة أخرى من الأعراض العصبية تعرف باسم "الموريا" (Moria)، والتي تتميز بالبهجة المرضية، وكلا التغيرين السلوكيين مرتبطان بتلف في الدائرة الجبهية المدارية، المسؤولة عن اتخاذ القرارات، والتي يمكن أن تؤدي إلى سلوك غير مدروس عند تعرضها للتلف.

ومن بين الدراسات الحديثة حالة لرجل يبلغ من العمر 63 عاما تعرض لإصابة برصاصة في الرأس، فقد على إثرها معظم الفص الأمامي الأيمن وجزءاً من القشرة الجبهية المدارية اليسرى. وعلى الرغم من معاناته السابقة من الاكتئاب والأفكار الانتحارية، بدأ هذا الرجل في إظهار مشاعر دائمة من المرح والسعادة خلال مرحلة التعافي.
وقال هذا الرجل في إحدى المرات "لن تجدني أبداً في حالة بائسة"، بينما لاحظ الأطباء أنه يميل إلى المزاح المستمر والتعليقات الخفيفة، ولم يأخذ حالته الصحية بجدية. وفي أحد المواقف، كان ينفخ فمه لإحداث مفاجأة تسلية للحاضرين، مما يعكس مدى تأثره بتلف الدماغ.
ولا يوجد علاج قياسي لحالات "ويتزلزوخت" أو "الموريا"، ولكن غالباً ما يبدأ الأطباء بوصف مثبطات إعادة امتصاص السيروتونين، والتي قد لا تكون فعالة، مما يدفعهم إلى تجربة أدوية أخرى مثل مضادات الصرع أو مضادات الذهان غير التقليدية.

وفي ورقة بحثية من عام 2019، ذكر أطباء نفسيون أن دراسة هذه الأعراض ساهمت في فهم أعمق للمرضى الذين يعانون من اضطرابات عصبية نفسية. وأوضحوا أن هذه الأعراض تلقي الضوء على الأسس العصبية لبعض الظواهر الإيجابية المعقدة التي تشكل الحياة البشرية، بما في ذلك الفكاهة والإبداع والفرح.
وقد يكون من الصعب إضفاء الطابع الخفيف على تلك الحقائق، ولكنها تسلط الضوء على الروابط العميقة بين الدماغ والروح البشرية.
aXA6IDIxNi43My4yMTYuMjE0IA==
جزيرة ام اند امز