مرض خطير يحاصر الأطفال المصابين بكورونا
دراسة تؤكد أن الأطفال يصابون بفيروس كورونا المستجد بشكل أكثر شدة عن الكبار، ويكونون أكثر عرضة للإصابة به حال كانوا يعانون مشاكل صحية
حذر أطباء نشروا أشعة مقطعية لأطفال بعد إصابتهم بفيروس كورونا المستجد من أن المرضى يمكن أن يعانوا تلفًا بالرئة.
وذكرت صحيفة "ديلي ميل" البريطانية أن فريقا من مستشفى أطفال بوسطن قيموا أشعة مقطعية لحالات إصابة من الأطفال بـ"كوفيد-19" لتحديد أبرز السمات المشتركة.
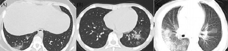
وفي دراسة على 20 طفلًا، كان نحو الثلثين لديهم ما يسمى بـ"عتامة الزجاج المطحون"، وهو مؤشر على انتشار الالتهابات.
وكان لدى نصف ما يعرف باسم "علامة الهالة"، التي تحدث عندما تحاوط الالتهابات كتلة، تعرف باسم "التصلد"، صعوبة في التنفس.
وبشكل عام، يبدو أن الأطفال يصابون بفيروس كورونا المستجد بشكل أكثر شدة عن الكبار، وأكثر عرضة للإصابة به حال كانوا يعانون مشاكل صحية.

وقارن الأطباء بقيادة إخصائية الأشعة ألكسندرا فوست، الضرر جراء "كوفيد-19" مقابل أمراض أخرى تصيب الجهاز التنفسي، مثل: سارس، وميرس.
ونظرًا لأن "سارس-كوف-2"، وهو الفيروس المسبب لمرض "كوفيد-19"، جديد للغاية، هناك محدودية في الأدلة المتعلقة بتأثيره على الصحة، وتحديدًا بالنسبة للأطفال.
وترجح البيانات من مراكز السيطرة على الأمراض والوقاية منها أن 1.7% من الحالات التي تم تشخيصها بـ"كوفيد-19" هي بين من هم دون الـ18 عامًا.
وجمعت فوست وزملاؤها 5 دراسات وأشاروا لأبرز التغييرات الملحوظة في رئة الأطفال، ونشروا نتائجهم في دورية " American Journal of Roentgenology".
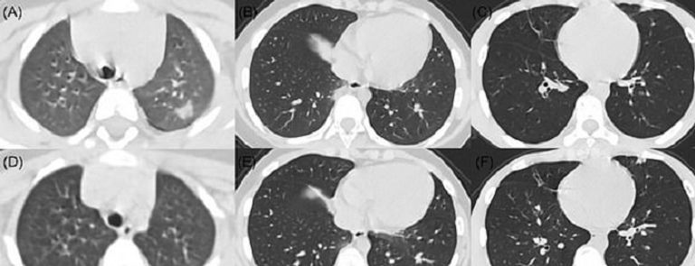
وفحصت دراسة واحدة بمدينة ووهان الصينية 20 مريضًا مصابين بفيروس كورونا المستجد بمستشفى للأطفال أعمارهم ما بين يوم واحد و14 يومًا، و13 منهم كانوا ذكورا.
وكان جميع المرضى يعانون من تضرر جزء من الأنسجة أو تغيرت بشكل غير طبيعي في جدار الرئة، وكان النصف يعاني من تضررات ثنائية بالرئتين، بينما 30% كان الضرر برئة واحدة.
وكان 6 من بين 10 مرضى يعانون "عتامة الزجاج المطحون"، وهي سحابة ضبابية على الرئتين تشير لمجموعة مختلفة من المشاكل.

ويمكن أن تعني تلك السحابة أن الرئتين مملوءتان جزئيًا بمادة ملتهبة، أو أن هناك سماكة في أنسجة الرئة، أو انهيار جزئي للحويصلات الرئوية، وهي الأكياس الهوائية الموجودة بالرئتين.
وكان النصف يعانون من "التصلد"، وهو امتلاء الأكياس الهوائية في الرئتين بمواد عادة ما تكون دماء أو مياها أو صديدا.
وبعد العلاج، خضع 6 أطفال لأشعة مقطعية، وتبين أن حالات "التصلد" خفت تدريجيًا في 3 حالات.
ووجدت دراسة أصغر لـ5 مرضى صغار مصابين بفيروس كورونا المستجد حالة معتدلة من "عتامة الزجاج المطحون" بين 3 مرضى، لكنها شفيت مع الوقت.
aXA6IDIxNi43My4yMTYuMTQxIA==
جزيرة ام اند امز