رجل بجلد رمادي يثير دهشة الأطباء
شهد أحد مستشفيات هونغ كونغ حادثة طبية غريبة أثارت حيرة الأطباء، حيث استقبل رجلاً مسناً يبلغ من العمر 84 عامًا يعاني من انسداد في مجرى البول.
لكن المفاجأة لم تكن في حالته الصحية المعتادة، بل في لون جلده الرمادي الذي امتد ليشمل عينيه وأظافره.
وفقًا لتصريحات المريض، بدأ تغير اللون قبل خمس سنوات، ما دفع الأطباء إلى إجراء فحوصات مكثفة.
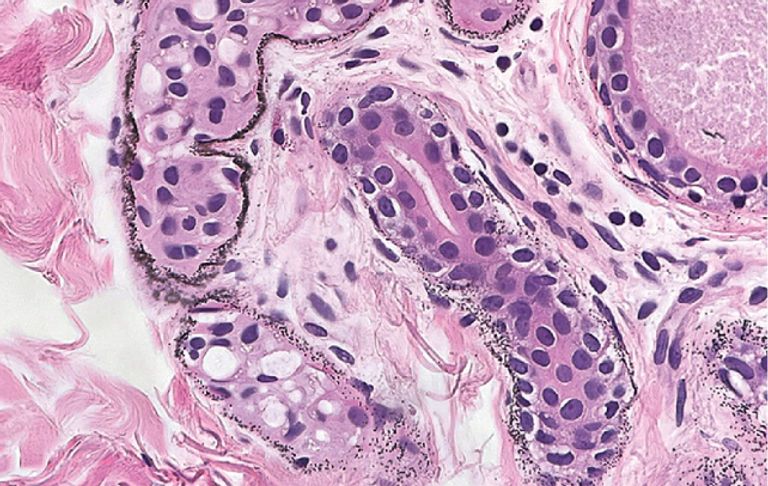
كشفت التحاليل عن وجود تركيز للفضة في جسمه أعلى بـ40 مرة من المستوى الطبيعي، مما أدى إلى تراكم جسيمات صغيرة من المعدن المؤكسد في مناطق مثل غدد العرق والأوعية الدموية وألياف الجلد.
هذه الحالة النادرة تُعرف بـ"الأرجيريا" (Argyria)، وتنتج عن تراكم الفضة في أنسجة الجسم بشكل غير طبيعي.
ورغم ندرتها، إلا أنها ليست مجهولة في الأوساط الطبية، إذ ظهرت سابقًا بين عمال المناجم والحرفيين الذين يتعرضون بكثافة للفضة، أو نتيجة استخدام أدوية تحتوي عليها بفضل خصائصها المضادة للبكتيريا.
المثير للحيرة في هذه الحالة تحديدًا هو غياب أي مصدر واضح للتعرض للفضة؛ إذ لم يكن المريض يستخدم أدوية تحتوي على هذا المعدن، وكان علاجه الوحيد هو عقار "فيناستيرايد" المخصص لعلاج تضخم البروستاتا، الذي لا يتضمن أي مركبات فضية. بالإضافة إلى ذلك، لم يكشف تاريخ عمله كعامل مطعم عن أي تعامل مع الفضة، ولم تسجل أعراض مشابهة بين جيرانه.
تُمتص الفضة عادةً عبر الجلد أو الرئتين أو الجهاز الهضمي، وتنتشر في الجسم، لتتركز في المناطق المعرضة للأشعة فوق البنفسجية، حيث تتفاعل أيونات الفضة مع الإلكترونات لتكوين مركبات تمنح الجلد اللون الرمادي أو الأزرق الباهت.
رغم أن تراكم الفضة لا يُعتبر خطرًا كبيرًا على الصحة في معظم الحالات، فإنه قد يؤثر أحيانًا على امتصاص بعض الأدوية.
