محاولة قتل فاشلة.. العثور على إبرة في دماغ امرأة منذ 80 عاما
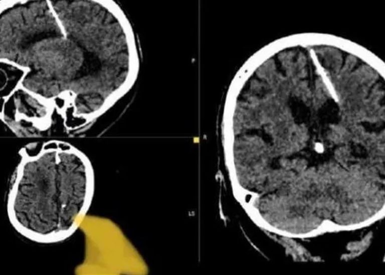
داخل دماغ امرأة مسنّة في أقصى الشرق الروسي، عثر أطباء على إبرة بطول 3 سنتيمترات موجودة منذ 80 عاماً.
وظهرت الإبرة أثناء عمل فحص بالتصوير المقطعي، ويعتقد الأطباء أن المرأة تعرضت لمحاولة قتل فاشلة نفذها والداها خلال طفولتها، وقالوا إنهما لم يحاولا إزالة الإبرة خشية أن يفاقم ذلك حالتها.
وأوضحت إدارة الصحة المحلية في منطقة سخالين الروسية النائية أنّ "مثل هذه الحالات كانت شائعة خلال سنوات المجاعة".
وأضافت أن والديها قررا على الأرجح التخلص من طفلتهما خلال الحرب العالمية الثانية، لأنها كانت تعيش مع إبرة يبلغ طولها 3 سنتيمترات منذ ولادتها.

ولفتت إلى أن هذه الطريقة كثيرا ما يتم استخدامها لإخفاء أداة الجريمة.
وكان نقص الغذاء سائداً في جميع أنحاء الاتحاد السوفياتي خلال الحرب، وعاش الكثير من السكان في فقر مدقع.
وقالت إدارة الصحة المحلية "لقد اخترقت الإبرة الفص الجداري الأيسر، لكن لم يكن لها التأثير المقصود، إذ نجت الفتاة".
وأكدت أن المريضة لم تشعر بالصداع بسبب الإصابة، ولم تكن تواجه أي خطر.
aXA6IDIxNi43My4yMTYuMjE0IA== جزيرة ام اند امز