تجارة الأدوية غير القانونية تزدهر في مناطق كولومبيا القريبة من فنزويلا
حالات الشح في المواد الأولية ونسب التضخم الهائلة تدفع الكثير من الفنزويليين لشراء علاجات من جسر سيمون بوليفار على الحدود مع كولومبيا.
حالات الشح في المواد الأولية ونسب التضخم الهائلة تدفع الكثير من الفنزويليين لشراء علاجات من جسر سيمون بوليفار على الحدود مع كولومبيا.
قيمة استيراد الأدوية في الجزائر وصلت إلى نحو 2 مليار دولار مع نهاية 2018، في مقابل ملياري دولار سنوياً من إنتاج الأدوية محلية الصنع.
الباحثون توصلوا إلى أن هرمون برولينسولين proinsulin المنتج في البنكرياس، يحتاج إلى وجود بروتين يسمى "GRP94" كي يتحول إلى إنسولين.
وزارة الصحة ووقاية المجتمع الإماراتية تؤكد أن غسول الفم Zordyl Mouthwash يحتوي على شوائب ضارة وملوث بالبكتيريا الضارة
الباحثون يزرعون شريحة في أدمغة ٣٧ فأرا مصابة بالصرع، تعالج بحقن عقار "بيلوكاربين" المستخدم في علاج جفاف الفم وتخفيف ضغط العين
وزارة الصحة الإندونيسية تكشف عن فشل مناقصة لشراء بعض عقاقير الإيدز، وتقول إنها استوردت بعضا منها عبر الصندوق العالمي لمكافحة المرض.
يندريخ ماتوشيك، الأخصائي في التصنيع الصوتي المسؤول عن البرنامج، يقول: "نحن نعمل على أصوات منفصلة، لذا فإننا بحاجة لعدد كبير من الجمل"
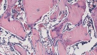
الفريق البحثي استخدم معلومة تقول إن أحد أنواع البروتينات يمكنه مساعدة خلايا جذعية على بناء عظام جديدة، وقام بتنفيذ ذلك بشكل عملي
نتائج أُجريت على نماذج حيوانية تظهر إمكانية زيادة الخلايا المنتجة للأنسولين إلى 5%، باستخدام دواء يؤثر على التواصل بين الخلايا
كانت هذه اخر صفحة
هناك خطأ في التحميل