السجائر الإلكترونية تدمر فم مراهق.. كلفته أسنانه وفكه
 
                                        المراهق قطع مسافة 250 ميلا من بلدة صغيرة في نيفادا إلى مستشفى أطفال في ولاية يوتا ووصل بعد ساعتين من الانفجار بفمٍ دموي وأسنان مكسورة.
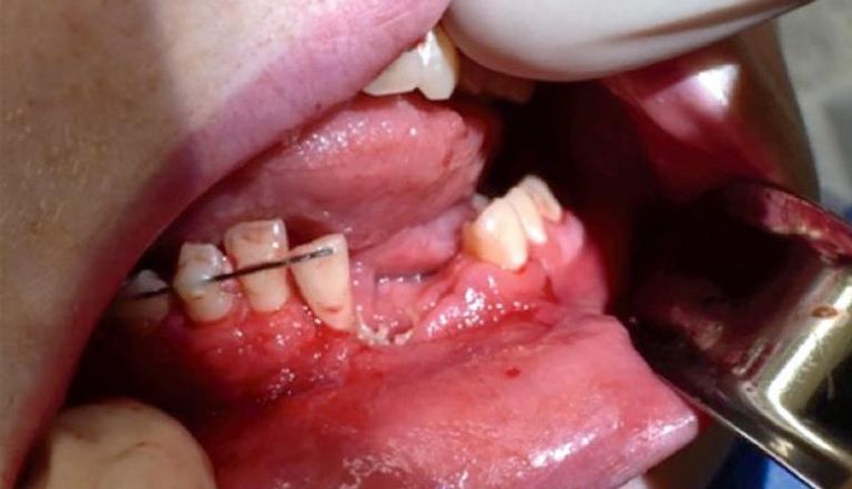
أصيب مراهق أمريكي بجروح خطيرة عندما انفجرت سيجارة إلكترونية في فمه وكسرت فكه، ما تطلب وضع صفيحة أسنان أسفل اللثة وتثبيتها في عظام الفك.
وذكر موقع "لايف ساينس" أن الشاب، 17 عاما، وصل إلى غرفة الطوارئ بعد ساعتين من الانفجار، إذ قطع مسافة 250 ميلا من بلدة صغيرة في نيفادا إلى مستشفى للأطفال في ولاية يوتا مع والدته، بفمٍ دموي وأسنان مكسورة وثقب في فكه.
وقالت الدكتورة كاتي راسل، جراح الأطفال في جامعة يوتا ومستشفى الأطفال الابتدائي في سولت ليك سيتي، إن المريض أصيب بجروح شديدة في فمه وفقد بعض الأسنان، فضلا عن تكسر فكه الأسفل.

وأضافت: "الأطباء بحاجة إلى إزالة عدة أسنان أخرى من فم الصبي، لأن مآخذهم قد دُمرت، ويحتاج الفتى أيضا إلى وضع صفيحة أسنان أسفل اللثة لتثبيته في عظام الفك".
وما زال فك الصبي لا يغلق بشكل صحيح، لذا ربط الأطباء فكه لمدة 6 أسابيع لمنحه الوقت للشفاء.
ذكرت إدارة الأغذية والعقاقير (FDA) أن بعض الأدلة تؤكد أن بطاريات السجائر الإلكترونية قد تنفجر، وأوصت بتجنب ترك المستخدمين الجهاز دون مراقبة أثناء الشحن، واستبدال بطاريات الجهاز إذا كانت تالفة أو رطبة، وحماية الجهاز من درجات الحرارة القصوى الحارة أو الباردة، مثل عدم تركه في ضوء الشمس المباشر أو في سيارة باردة أو حارة لفترات طويلة.

 
                                                            
                                                     
                                                            
                                                     
                                                            
                                                    