باحثون سوريون يوثقون حالة نادرة لورم في الجيوب الأنفية (خاص)
كشف فريق طبي عن حالة نادرة من الورم الميلانيني المخاطي في الجيوب الأنفي، وهو أحد أكثر الأورام عدوانية في الرأس والرقبة رغم ندرته.
ويمثل هذا الورم النادر أقل من 5% من أورام الميلانوما في هذه المنطقة، وأقل من 1% من حالات الميلانوما على مستوى الجسم بالكامل.

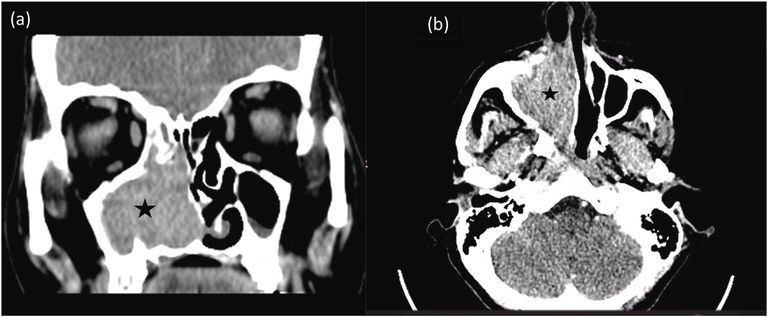
وبحسب التقرير الذي تنشره في مارس/آذار دورية "أوتولرنغولجي كيس ريبورتس "، وحصلت "العين الإخبارية" على نسخة منه، فقد راجعت سيدة تبلغ من العمر 54 عاما عيادة الأنف والأذن والحنجرة بمستشفى المواساة الجامعي بكلية الطب جامعة دمشق بعد معاناة استمرت خمسة أشهر من نزيف أنفي متكرر في جهة واحدة، وانسداد في الأنف، وفقدان لحاسة الشم، وأظهر الفحص بالمنظار وجود كتلة لحمية نازفة تملأ التجويف الأنفي الأيمن وتمتد إلى أرضية الأنف والحاجز الأنفي، بينما بدت بقية فحوصات الرأس والرقبة طبيعية.
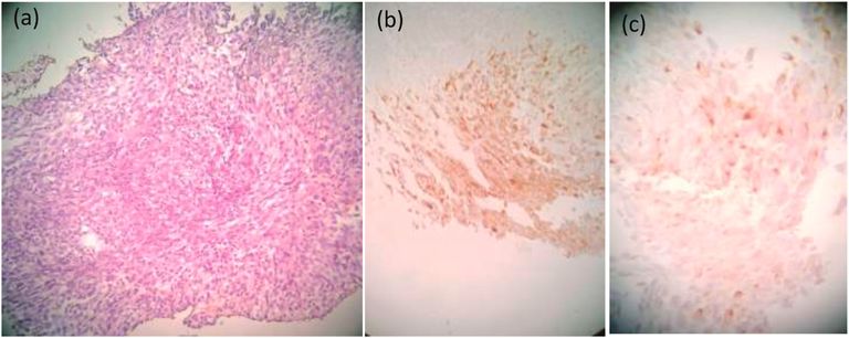
ولتأكيد التشخيص، خضعت المريضة لفحوصات نسيجية وتحاليل مناعية، أظهرت جميعها أن الكتلة عبارة عن ورم ميلانيني مخاطي في الجيوب الأنفية، وهو نوع يُعرف بتشابه أعراضه مع أمراض أقل خطورة، مما يزيد من احتمالات تأخر اكتشافه.

وأوضح الباحثون من مستشفى المواساة الجامعي بجامعة دمشق، أن هذا النوع من الأورام قد يبدأ بأعراض عامة وغير محددة مثل الانسداد الأنفي أو النزيف المتكرر، ما قد يؤدي إلى التأخر في التشخيص ويقلل من فرص التدخل العلاجي المبكر.
ويؤكد التقرير أهمية الفحص بالمنظار، والتصوير المقطعي أو بالرنين المغناطيسي، يليه أخذ خزعة وفحص مناعي لتحديد الورم بدقة.
وتسلط هذه الحالة الضوء على ضرورة الانتباه للأعراض الأنفية المستمرة أو غير المفسرة، خاصة لدى المرضى الذين لا يستجيبون للعلاج التقليدي، نظرا للطبيعة العدوانية والإنذار الضعيف لهذا النوع النادر من الأورام.
aXA6IDIxNi43My4yMTYuMjE0IA==
جزيرة ام اند امز