صور أشعة تكشف ما يفعله "كورونا الجديد" برئة ضحاياه
العلامات التي كشفت عنها الأشعة تتشابه مع تلك التي وجدت بالمرضى المصابين بمتلازمة الالتهاب التنفسي الحاد الوخيم "سارس"
أظهرت صور أشعة سينية ومقطعية، من بينها أشعة خاصة بصيني يبلغ من العمر 44 عاماً، توفى جراء الإصابة بفيروس كورونا، ما يفعله المرض برئة ضحاياه.
ويظهر من الأشعة وجود بقع بيضاء في المناطق السفلى من الرئتين، والتي تشير إلى ما يسميه أطباء الأشعة منظر "الزجاج المغشى"، وهو الامتلاء الجزئي للحويصلات الهوائية، بحسب صحيفة "ديلي ميل" البريطانية.

وهذه العلامات التي كشفت عنها الأشعة مشابهة لتلك التي وجدت بالمرضى المصابين بمتلازمة الالتهاب التنفسي الحاد الوخيم "سارس"، ومتلازمة فيروس كورونا التنفسية الشرق أوسطية "ميرس".
وظهر بوضوح هذا الأمر في أشعة سينية على صدر المريض المصاب بفيروس كورونا الجديد، الذي عمل في سوق المأكولات البحرية بمدينة ووهان الصينية، بؤرة تفشي الفيروس.
ونشرت جمعية الطب الإشعاعي في أمريكا الشمالية "RSNA" صور الأشعة، التي توضح كيف أصبحت السوائل الموجودة في رئة الرجل أكثر وضوحاً بمرور الوقت، كما اتضح عند مقارنة الصورة الأولى مع الصورة الأخيرة.

وأودع المريض بالمستشفى في 25 ديسمبر/كانون الأول عام 2019، بعد إصابته بحمى وسعال لمدة أسبوعين تقريباً، وشخص الأطباء حالته بالتهاب رئوي ومتلازمة ضيق النفس الحادة، ورغم تلقيه العلاج، توفي بعد أسبوع.
كما بينت الأشعة المقطعية لسيدة عمرها 54 عاماً، أصيبت بفيروس كورونا بعد سفرها إلى مدينة ووهان الصينية، نفس الامتلاء الجزئي للحويصلات.
وجرى تشخيص حالة السيدة بالإصابة بالتهاب رئوي حاد بسبب الفيروس، بعد معاناتها من حمى وسعال وإجهاد، وكذلك احتقان في الصدر، لمدة أسبوع، وحصلت على أكسجين ومضادات حيوية.
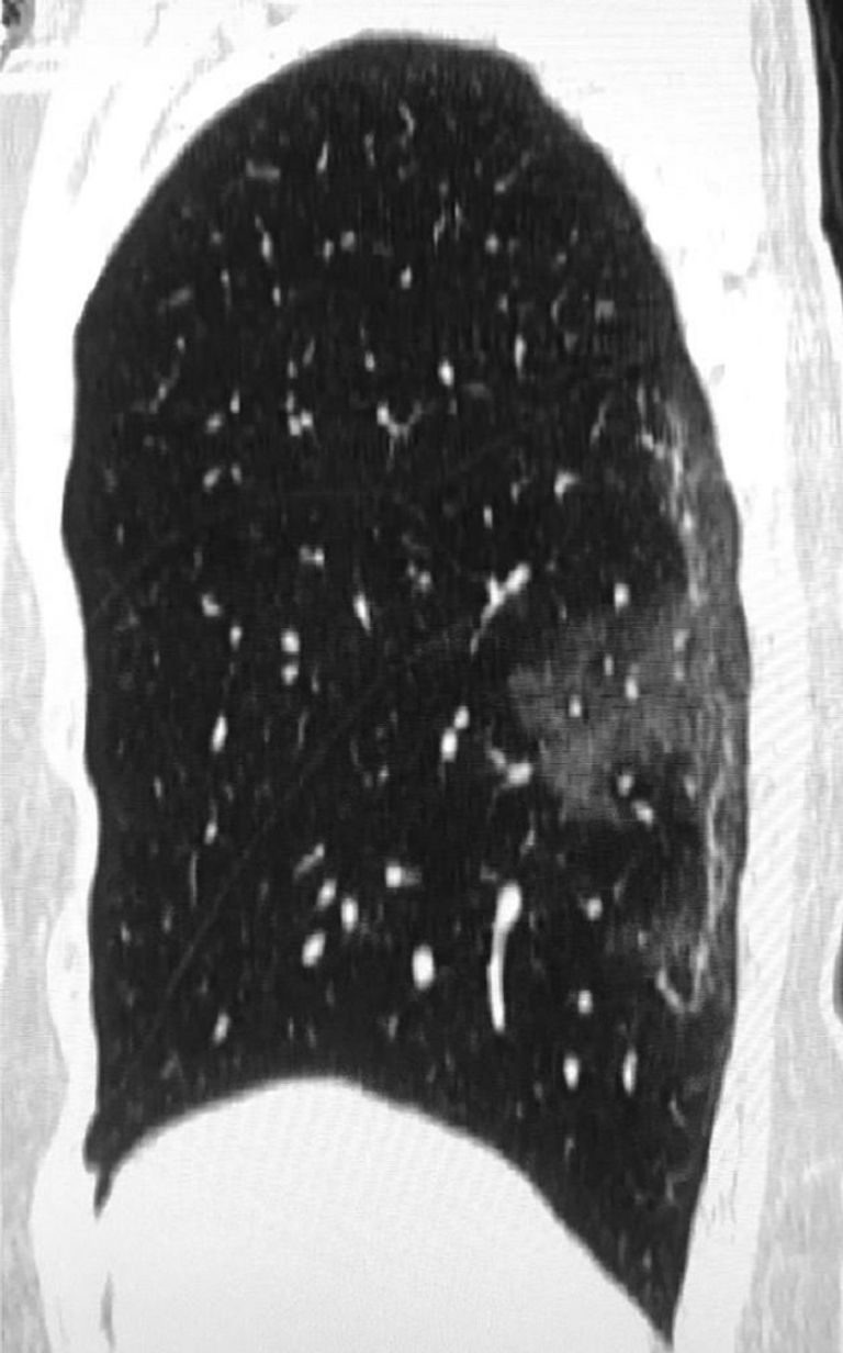
وظهر في الأشعة الخاصة بسيدة من مقاطعة سيتشوان الصينية، تبلغ من العمر 45 عاماً، جاءت نتائج فحوصها إيجابية للإصابة بـ"كوفيد-19"، بعد عودتها من اليابان، بقع بيضاء بالفص العلوي الأيسر للرئة.
وتم اكتشاف تلك البقع البيضاء مع حالات الإصابة بمتلازمة الالتهاب التنفسي الحاد الوخيم "سارس"، ومتلازمة فيروس كورونا التنفسية الشرق أوسطية "ميرس"، ويعتبر الاثنان من عائلة فيروسات كورونا.
