100 ساعة بـ"الرنين المغناطيسي" تكشف أسرار الدماغ
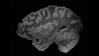
علماء أمريكيون يجرون 100 ساعة كاملة من المسح على الدماغ باستخدام واحدة من أكثر أجهزة التصوير بالرنين المغناطيسي تقدما.
علماء أمريكيون يجرون 100 ساعة كاملة من المسح على الدماغ باستخدام واحدة من أكثر أجهزة التصوير بالرنين المغناطيسي تقدما.
باحثون يؤكدون أنه بعد حدوث إصابة للذبابة يفرغ العصب المصاب كل حمولته في الحبل العصبي ويقتل جميع فرامل الألم إلى الأبد.
علماء من الأكاديمية الصينية للعلوم يطورون رقاقة جديدة تقلل الحاجة إلى عينات الدم بمقدار 200 مرة لتحديد مستويات الزئبق.
احتمال الإصابة بالخرف (ألزهايمر) زاد بواقع 3 مرات تقريبا لدى الأشخاص الذين لديهم استعداد وراثي كبير وأسلوب حياتهم غير صحي ولا يمارسون الرياضة
الأشعة التداخلية واحدة من التخصّصات التكنولوجية الأكثر تقدماً في الطب الحديث، إذ توفّر البديل الآمن لكثير من الأمراض والعلل.
الحدث يُعقَد من 17 إلى 20 يناير/كانون الثاني بدبي، حيث يناقش الحاضرون علم الجينومات السريري وذلك من خلال خمسة محاور رئيسية.
طبيب أمريكي يؤكد أن تعديلاً بسيطاً في النظام الغذائي، مثل عدم تناول الوجبات الخفيفة بعد العشاء، يمكن أن يحمي القلب من الأمراض.
"الأوميجا لوب" تعد أحدث عمليات السمنة، ومن بين أكثرها فعالية لما تتمتع به من نسبة أمان، بعيداً عن استئصال جزء من المعدة.
لم تستبعد الحكومة الألمانية حدوث نقص في إمدادات المنتجات الطبية، بسبب لوائح الاتحاد الأوروبي المشددة التي تسبب مشكلات كبيرة للمنتجين
كانت هذه اخر صفحة
هناك خطأ في التحميل