سفراء "بالعلوم نفكر" يحصدون جائزة الأمم المتحدة للتنمية المستدامة
مشروع "درع اللاجئين" لطالبات مدرسة المواهب بأبوظبي، يفوز بجائزة الأمم المتحدة للتنمية المستدامة بمسابقة "إنتل الدولية للعلوم والهندسة".
مشروع "درع اللاجئين" لطالبات مدرسة المواهب بأبوظبي، يفوز بجائزة الأمم المتحدة للتنمية المستدامة بمسابقة "إنتل الدولية للعلوم والهندسة".
الفريق البحثي استند في ترجيحه لهذه الاحتمالية إلى وجود أكثر من دليل في دراسات سابقة على انتشار مرض السل على نطاق واسع في مصر القديمة.
العلماء نجحوا في تصوير مراحل تغير حجم رأس الجنين أثناء عملية الولادة، والتي أثبتت مدى قابلية الرأس على التأقلم مع منحنيات قناة المهبل.
شركة جوجل تأمر باستعادة مفاتيح التأمين الإلكترونية "تايتان" المعطلة لإصلاحها أو استبدالها مع ملاكها بنسخ سليمة مجانا.
الشركة الألمانية ليليوم جيت تبدأ اختبارات لتاكسي الطائر بـ5 مقاعد يعمل بواسطة 36 محركا نفاثا يعمل بالكهرباء بسرعة 300 كم/الساعة.
أكثر من 210 ألف مغترب يعملون في شنغهاي التي تسعى لجذب المزيد من رواد الأعمال لتصبح مركزًا عالميًا للعلوم والتكنولوجيا بحلول عام 2030.
رجل الأعمال الاسكتلندي وصانع شاي ليبتون السير توماس ليبتون ولد في 10 مايو 1848 وولد مستشار ألمانيا جوستاف ستريسمان في 1878
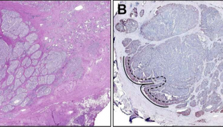
بحث يشير إلى أن وجود بروتين سينتافيلين بشكل ملحوظ داخل النواة المركزية للورم مقابل الحافة الخارجية الغازية له، قد يكون مؤشرا لوجود خطر.
المؤتمر يقام في بكين خلال الفترة الممتدة من 16 إلى 18 مايو الجاري.
كانت هذه اخر صفحة
هناك خطأ في التحميل