تركيبات الأسنان.. حل مثالي لعلاج تشوهات الفم
تركيبات الأسنان تمثّل وسيلة لاستبدال الجزء المفقود أو التالف منها بآخر صناعي، ما يساعد على تعويض نقصها الوظيفي.
لم يعد الحصول على مظهر أسنان صحية ونظيفة مستحيلاً، خصوصاً بعد التطوّر الهائل في تركيباتها، والجسور التي تعيد شكلها الجذاب، إذ أصبحت تمثّل حلاً مثالياً.
وقال الدكتور خالد عادل، إخصائي جراحات الفم والأسنان في مصر، إن تركيبات الأسنان عبارة عن وسيلة لاستبدال الجزء المفقود أو التالف منها بآخر صناعي، لتعويض نقصها الوظيفي.
وأضاف: "تُستَخدم التركيبات أيضاً لعلاج تشوّهات الأسنان وتحسين شكلها حتى لا يؤثر ذلك على الحالة النفسية".

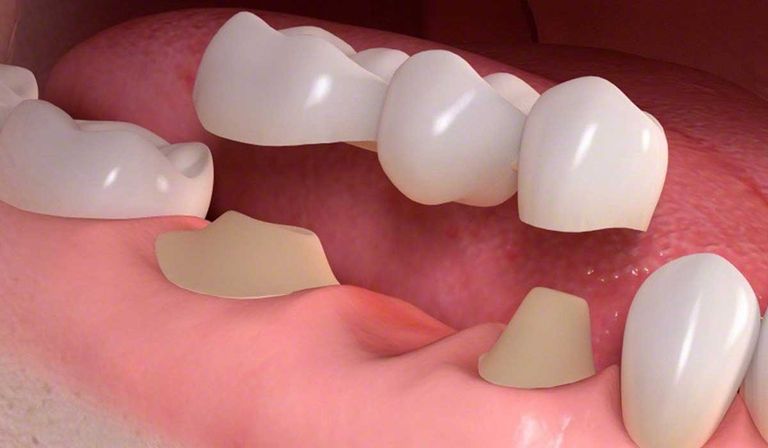
ويعدّ الجسر وسيلةً لتعويض ما تم خلعه، وهو عبارة عن أسنان اصطناعية يتم تركيبها داخل جسر أو تيجان، ثم تُثبَّت في الفم على أطراف المنطقة الفارغة.
وأوضح عادل أن تركيبات الأسنان والجسور تُستَعمل لأسباب عدة نستعرضها فيما يلي:
1- تعويض سن أو أكثر من التي تم خلعها لأي سبب.
2- حماية سن ضعيف ومعرّض للكسر بسبب التسوس أو أي إصابة.
3- تغيير سن مكسور بشكل كامل.
4- تغطية حشوة في أي سن وتكون كبيرة ومعرّضة للوقوع.

5- تغطية سن شكله مشوّه أو لونه مختلف عن البقية.
6- منح الشخص الشكل اللائق بعد خلع أو فقد أي من أسنانه.
7- المساعدة في عملية المضغ وتحسين القدرة على تناول الطعام.
8- إعانة الشخص على التحدّث ونطق الحروف بشكل سليم.
aXA6IDIxNi43My4yMTYuMjE0IA== جزيرة ام اند امز