ثقتك بنفسك تبدأ بأسنان سليمة
ابتسامتنا حاسمة في استقبال مظهر الشخص، فهي مصدر ثقتنا الشخصية أثناء التعامل مع الآخرين.
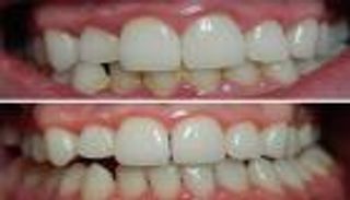
ثقتك بنفسك تبدأ بابتسامة مشرقة وجذابة، فحالة الأسنان أساسية في شكل الابتسامة، ومظهر أسنانك السيء لا يعكس حالة الأشخاص الصحية فحسب، بل أيضا مظهرهم العام.
طبيب تجميل الأسنان ميدينا يؤكد أنه على الصعيدين الشخصي والعملي، جمال الأسنان يتحول إلى عامل إغراء يمكن أن يكون حيويا لتحقيق نجاح نتمناه.
وأوضح "أن حالة ابتسامتنا حاسمة في استقبال مظهر الشخص، فهي مصدر ثقتنا الشخصية أثناء التعامل مع الآخرين وكذلك تؤثر في انطباع الآخرين عنا".

صحة اللثة
ومن هنا ازداد الإقبال على تجميل الأسنان في الفترة الأخيرة خاصة في ظل التطور التكنولوجي، وظهور العديد من التقنيات الحديثة والعلاجات التي تحسن من مظهر الأسنان مع الحفاظ على شكلها الطبيعي وبأقل ألم.
ويقول ميدينا إنه من المهم للغاية احترام الملامح الطبيعية للمريض وقت تجميل أسنانه حتى يكون هناك تناغم بينها وبين شكل الوجه.
وللحفاظ على مظهر الأسنان وصحة اللثة بدون تجميل في الوقت الذي يعاني فيه واحد من كل ثلاثة بالغين فوق سن 35 عاما من أمراض باللثة، وينصح الطبيب الإسباني سانتوس، الخبير في اللثة وزراعة الأسنان، باتباع نظام غذائي غني بالفواكه والخضراوات يقي من تسوس الأسنان وأمراض اللثة وغيرها من أمراض الفم.

استخدام الفرشاة
وعن العناية بالأسنان والفرق بين الفرشاة اليدوية أو الإلكترونية، يشير الطبيب إلى أن الأهم هو شكل الفرشاة، حيث يجب أن تكون صغيرة لتصل لأي مكان بالفم وأن تكون شعيراتها من النايلون متوسطة الخشونة حتى لا تضر اللثة، كما يجب تغييرها كل ثلاثة أشهر.
وللأشخاص الكسالى، يفضل الطبيب الفرشاة الإلكترونية، حيث تسهل تنظيف المناطق الداخلية والمساحات بين الأسنان.
هناك بعض الأغذية التي تساعد على الحفاظ على صحة الأسنان يوصي الطبيب بنظام غذائي غني بالخضراوات والفواكه لتسهيل النظافة الذاتية للفم واللثة والقضاء على البكتيريا بشكل غير مباشر، والابتعاد عن السكريات والنشويات، حيث تعد الأكثر ضررا للفم.
وبالنسبة لمضغ العلكات التي يعتاد الكثيرون عليها، لا يرى الطبيب أي ضرر بها في حال كانت بدون سكر، حيث إن مضغ علكة يجعل اللسان يتحرك ويزيد من إفراز اللعاب، مبرزا أن العلكات الخالية من السكر أكثر صحة من الحلوى.
وأخيرا يعطي الطبيب مجموعة من النصائح العامة للحفاظ على صحة الأسنان وهي تنظيف الأسنان بالفرشاة مرتين يوميا لدى الاستيقاظ وقبل النوم لمدة تتراوح بين دقيقتين وثلاث دقائق في كل مرة، واستخدام غسول للفم مرتين يوميا، كما من الضروري زيارة طبيب الأسنان من حين لآخر.
aXA6IDIxNi43My4yMTYuMTU4IA==
جزيرة ام اند امز